养宠家庭如何预防弓形虫病
现代社会,宠物猫犬已经越来越多的走进人类家庭,成为很多家庭的一份子,有的家庭甚至同时饲养五六只宠物猫。宠物猫犬在给家庭带来欢乐的同时也存在着传染人畜共患病的隐患,这其中弓形虫病就是对人类尤其是孕妇危害较大的一种人畜共患病,下面小编就带大家一起来认识下弓形虫病的感染途径和防治措施。
顾名思义,弓形虫病是由弓形虫感染而引起的人畜共患寄生虫病。弓形虫可以广泛寄生于人、哺乳动物、鸟类以及某些水生动物,分布较广,一些特殊人群,如孕妇感染率较高。
一、弓形虫的主要危害
弓形虫对妊娠妇女和对胎儿的危害极大,表现为孕妇感染弓形虫后,可通过胎盘传给胎儿,造成流产、死胎、畸形或婴儿先天性弓形虫病。孕妇感染弓形虫后,无明显症状者居多,临床常见淋巴结肿大,在肿大的淋巴结中可发现虫体。孕妇一旦发生免疫功能低下或缺陷时,就会出现严重症状,如脉络膜视网膜炎、脑炎、肺炎、心肌炎等。孕妇感染弓形虫后必定都会直接影响胎儿发育,如导致异常妊娠、流产等。
二、弓形虫生活史
弓形虫有五个发育阶段,其中包括滋养体、包囊、裂殖体、配子体和卵囊,滋养体和包囊存在于犬和人等多种哺乳动物及鸟类等中间宿主体内,裂殖体、配子体和卵囊出现在终末宿主猫或猫科动物体内。弓形虫寄生在猫体内繁殖生长,急性感染阶段在猫的组织中形成包裹,其卵囊在猫的肠道中随粪排出。

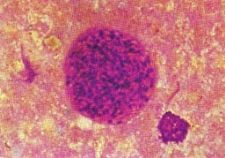
 图1猫弓形虫卵囊 

 图2猫弓形虫包囊 
1、中间宿主
犬是弓形虫的中间宿主,可先天性和获得性感染弓形虫。先天性感染是通过母体胎盘垂直传播而得;获得性感染是因食入含弓形虫包囊的食品而感染。感染弓形虫是否发病取决于虫体毒力、感染数量、感染途径以及宿主抵抗力。引起发病的直接因素是虫体毒素的作用、有毒分泌物引起的变态反应以及虫体繁殖时破坏细胞所致。犬弓形虫病大都与中枢神经系统、视觉、呼吸、胃肠的临床症状有关。犬分泌物中的弓形虫可感染人体。另外,接触流产动物的胎盘、羊水及其他污染物可获得感染。

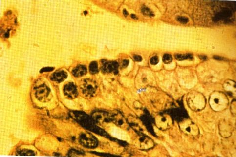
 图3猫弓形虫包囊 
2、终末宿主
猫是弓形虫的终末宿主,弓形虫在其体内能完成全部发育阶段,并经粪便排出卵囊。猫主要是通过食入感染性组织包囊和卵囊感染的,并且随年龄增加,感染率增加,说明猫的获得性感染是主要的。感染猫可能出现临床症状,主要包括精神沉郁,厌食,体温升高在40℃以上,呈稽留热等。怀孕猫可出现流产,或胎儿于产后数日死亡。猫弓形虫平均感染率为30~40%。气候潮湿的南方比气候干燥的北方猫的感染率高;自由觅食的流浪猫感染率高于家猫,这与食物的种类有关。猫作为弓形虫的终末宿主,在弓形虫的传播过程中起重要作用。弓形虫在猫肠道内进行有性繁殖,产生大量抵抗力强的卵囊。卵囊在适宜温度和湿度环境中三五天即可发育为感染性卵囊,可以存活数月,因此增加了中间宿主的感染机会。猫初次感染弓形虫后三至五天后开始排出卵囊,平均持续一周左右,也有的可以长达三周。由于猫感染弓形虫后获得抗感染免疫力,一般来说,不会再次感染弓形虫。但也有例外。弓形虫卵囊被排出后可广泛分布于自然环境中,孢子化卵囊在潮湿泥土和沙中可以存活十八个月并具有感染力,因此动物和人在与土壤接触时误食入泥土中的卵囊,或食入未清洗的被卵囊污染的蔬菜,均可感染。人可因误食卵囊而感染或被猫咬伤通过滋养体感染。猫弓形虫病的确诊难度很大,以血清学方法和粪便的病原学诊断为主。由于猫感染弓形虫后只在很短的一段时间排卵囊,在粪便中检测出卵囊的机率很低。

 图4实验室诊断弓形虫病 
二、弓形虫病的预防
目前对宠物弓形虫病的治疗还没有理想药物。临床常以药物治疗,对于弓形虫病有一定的效果。因此,宠物弓形虫病的预防就显得尤为重要。我们通过以下措施可以减少宠物感染弓形虫,也可减少人经宠物感染弓形虫。
1、注意饲养管理卫生,应该让猫固定居所,不要放养,任其在外游荡;
2、给犬猫吃成品粮,不让其在外自由捕食,以免吃了已经感染弓形虫的鼠或鸟类而把弓形虫带回家;
3、每天清除犬猫粪便,因为猫粪中的卵囊需在外界发育二到五天才有感染性,所以及时处理猫粪非常重要;宠物饭碗应与其它器具分开、定期为其清洗睡觉的垫子,不要让其在床上睡觉;
4、避免被宠物抓伤、咬伤,尽量不要与宠物过分亲密接触,如同桌共餐、同床共眠;尽量不让宠物舔人手及脸;经常给宠物洗澡。

 图5猫弓形虫感染 
三、总结与讨论
就目前的医学水平而言,宠物弓形虫病的诊断与治疗均存在一定程度不确定性,因此要避免得宠物弓形虫病,预防尤为重要。我们作为养宠爱好者,要积极学习人畜共患病知识,加强自我保护,不能盲目的自信自家的宠物健康状况,也不能仅凭猜测或者怀疑而疏远甚至遗弃自己养育多年的宠物朋友。
相关知识
养宠家庭如何预防弓形虫病
弓形虫病如何预防
养宠物=弓形虫病?弓形虫病症状及预防措施!
宠物犬接种弓形虫疫苗的必要性(预防弓形虫病)
养宠物怕感染弓形虫病?科学养宠应该这样做
孕妇养宠物如何预防感染弓形虫
养宠物猪会不会得弓形虫病
宠物狗何时需要打弓形虫疫苗?(预防弓形虫病,宠物健康保障)
【弓形虫】弓形虫病的症状
弓形虫病如何检查
网址: 养宠家庭如何预防弓形虫病 https://www.mcbbbk.com/newsview1304296.html
| 上一篇: 宠物狗拉虫怎么回事儿 | 下一篇: 毛孩子的健康守护神:专业驱虫方案 | 
推荐分享
 
                
                
                
                - 1养玉米蛇的危害 28694
- 2狗交配为什么会锁住?从狗狗生 7180
- 3我的狗老公李淑敏33——如何 6236
- 4豆柴犬为什么不建议养?可爱的 4637
- 5南京宠物粮食薄荷饼宠物食品包 4563
- 6中国境内禁养的十大鸟种,你知 4429
- 7湖南隆飞尔动物药业有限公司宠 4259
- 8自制狗狗辅食:棉花面纱犬的美 4257
- 9家养水獭多少钱一只正常 4212
- 10广州哪里卖宠物猫狗的选择性多 4122






