猫咪的肾有多容易受伤,养猫后必须知道的关于肾衰竭的几大常识
3岁后,猫肾衰中你必须知道的几个常识?

猫咪的平均寿命已经达到了16-23年。但因为饮食结构、生活环境和疾病等因素,据研究显示,大多数猫咪在14岁左右很容易因为肾衰竭导致死亡,但其实,猫咪的肾单位比狗子少一半,在6-9岁时,有接近50%的猫咪在血液检测中发现肾脏功能恶化的迹象。少部分的猫咪在3岁时就已经检测出有40%的肾功能丧失。以前传统兽医总是通过检测肌酐来判断猫咪有无肾衰,但是,肌酐要在肾功能缺失超过75%才显示异常,那时,猫咪体况通常已经明显变差,所以说它并不是一个能及早发现猫咪肾衰的指标,现在临床上SDMA可以在肾功能丧失超过40%的时候检测出异常,并且已经普及。因此日常体检时,就可以更早地发现猫咪肾功能是否异常,而做好预防和减少肾脏进一步损伤,来达到延长猫咪寿命的目的。
今天就猫咪肾衰的问题进行一个大科普,希望各位猫友都过来学习一下。

Question1:为什么慢性肾衰会导致贫血?
Answer1:肾脏是促红细胞生成素的生产主要负责器官。促红细胞生成素起到调节红细胞的生成,所以当猫咪出现慢性肾衰竭的时候,会出现慢性贫血。
Question2:为什么猫咪慢性肾衰会出现被毛稀疏杂乱、躯干肌肉减少?
Answer2:肾脏是身体中血液的过滤器,在肾功能正常的时候,它会把身体不需要的废物排出去,保留蛋白质。但肾功能不良的时候,会导致蛋白丢失。但饮食摄入的蛋白质不足,丢失增加的时候,身体代偿就会开始分解肌肉。所以,很多动物老了躯干和四肢会越来越纤细。
Question3:为什么我的猫咪还没有步入老年期就慢性肾衰了?
Answer3:遗传因素如多囊肾、肾结石、肾炎、传染性腹膜炎感染、急性肾损伤、药物中毒、长期摄入劣质日粮、长期摄入有毒花粉或者有毒的气味、食物中毒等。
Question4:为什么肾衰不可逆?
肾脏就相当于动物身体的过滤器,它由数千个肾单位(小过滤器)组成。而这些肾单位会因为各种原因导致的损伤出现纤维化病变(相当于生锈了)。而病变的肾单位测无法进行正常过滤的工作。当过多的肾单位出现损伤时,而好的肾单位无法进行补偿。所以,肾脏的和身体内的毒素都会大量积累。
Question5:既然肾衰不可逆转,还有治疗的必要吗?顺其自然不行吗?
Answer5:就像开头说得那样,猫咪养得好,平均寿命可以养到16-23年,但因为疾病、环境、饮食的因素才导致早年出现肾衰竭,如果能够及早发现,调整饮食结构是可以有效减缓肾衰竭的速度,从而延长寿命的。假如肾单位少了40%,那剩下的60%的肾单位就要承受100%的过滤工作,但是,如果我减少了身体摄入的毒素,调整了营养结构,就相当于降低了这剩下60%肾单位的工作量,从而让剩下正常的肾单位寿命得以延长,动物的寿命也能够得到延长。

Question6:猫咪慢性肾衰会出现有什么症状?
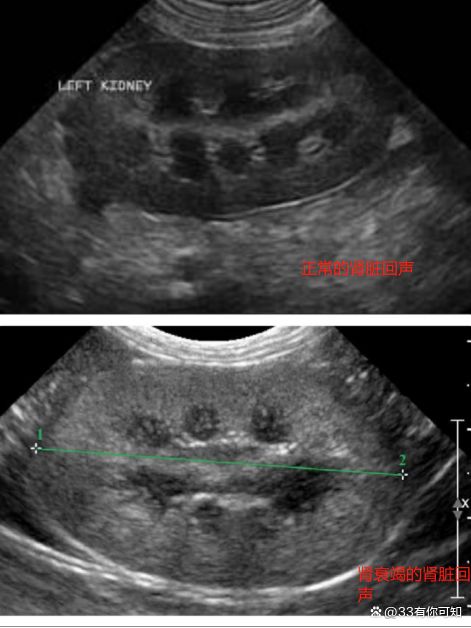
Answer6:早期多饮多尿、嗜睡、食欲变差、躯干肌肉减少、被毛杂乱掉毛、消瘦、呕吐、口臭、粘膜苍白贫血。严重时会出现严重脱水眼球凹陷、走路摇摆、失禁、呕吐、精神呆滞、反应迟钝、因为长期高血压导致失明、抽搐、多藏、少年或者无尿。但这些都是肾衰比较明显的时候出现的,但肾脏损伤超过40%左右的时候,其实临床症状并不明显,猫咪能吃能喝,体重短时间内变化也并不大,所以,早期要想排查猫咪有无肾功能不良,主要是检查SDMA和超声检查肾实质有没有纤维化病变回声增高。
Question7:如果我怀疑我家猫有肾衰,应该做哪些筛查确诊?
Answer7:抽血测量肌酐、尿素、SDMA、超声检查肾脏有无纤维化病变回声增高、尿液检查尿蛋白肌酐比、尿比重。读过我之前文章的朋友应该都知道。肌酐上升提示肾损伤超过75%会出现、SDMA升高提示肾损伤超过40%、无机磷、肌酐都升高提示肾损伤超过了85%。
从临床兽医的角度来看。以上检查最让宠物主人接受的是抽血检查,然后是超声检查,最后才是尿液检查。因为尿液检查的采样相对来说不是那么让人接受(麻醉镇静导尿管采尿或膀胱穿刺采尿)。

Question8:我们的猫体检发现有慢性肾衰我该不该吃抗生素治疗?
Answer8:如果不是肾炎或者尿路感染,不要使用抗生素,抗生素的目的是杀菌,此路不通。相反还可能会加速肾衰的速度。
Question9:我的猫有慢性肾衰,要不要输液治疗?
Answer9:主要看有无脱水、有无低蛋白、有无尿毒血症、有无明显的临床症状和电解质失衡。
Question10:猫咪几岁开始就要检查有无肾功能不良?
Answer10:有多囊肾遗传病的猫咪建议,如果没有明显的临床症状,建议每年检查一次;有过憋尿、中毒等因素导致引起过急性肾衰的猫咪也建议每年检测一次;正常健康的猫咪,建议从6岁开始筛查有无急性肾衰。
Question11:如果我不是特别有钱,检查项目优先做哪几项?
Answer11:没有明显症状时:SDMA>肌酐>b超>尿液检测。如果测量SDMA,发现升高,那么就要做生化测肌酐的水平和超声查看肾脏有无纤维化;有明显临床症状时:肌酐、血气、b超都要测,是否做尿检就看动物的状态和宠主的态度(有些东西科学要求你做,但是人道说不)。
Question12:猫咪肾脏处方粮选择湿粮还是干良好?
Answer12:处方粮:肾脏处方湿粮优于处方干粮。因为适口性更好、水分更多。处方粮可以很好地控制比例如蛋白质28-35%、磷0.3-0.6%、钠<=0.4%、Ω3脂肪酸0.4-2.5%。摄入优质的蛋白质更有利于维持肾脏的健康。但是,很多猫咪突然转换肾脏处方粮都是不适应的,所以,换猫粮不能操之过急,也不能饿着猫咪,要徐徐图之。如果突然换了猫粮,猫咪少吃或者不吃会引起更多体质的恶化,比如低蛋白导致的肌肉分解、消瘦、加速贫血和消瘦。如果家里有条件,尽量给猫咪换处方湿粮。另外,如果猫咪在换处方粮的时候食欲变差,可以使用米氮平透皮剂来促进食欲,事实证明,在有肾衰的时候,多吃的猫咪活得更长。

Question13:猫咪都出现多饮多尿了,为什么还要强调饮水量呢?
Answer13:饮水量。因为猫咪肾衰后肾浓缩尿液的能力下降了,导致身体内的水分大量丢失,而且得如果摄入的水分不足会导致肾脏排毒功能,而导致脱水和肾衰的加重。尽量减少强制喂水,以诱导饮水的方式为主,比如设置流动水,不同位置多放置干净的水碗,都可以增加猫咪饮水的欲望。建议喂处方罐头。如果猫咪已经出现明显的脱水了,可以考虑在家皮下补液。

Question14:猫咪都营养不良了,为什么还要控制蛋白质的摄入?
Answer14:蛋白质。一味地控制蛋白质的摄入是不对的。早期肾功能不良,吃蛋白质含量偏低的肾脏处方粮是为了摄入更优质、蛋白质代谢废物更少的蛋白质,从而延缓肾脏的负担。但是,如果猫咪更换处方粮后,由于适口性的问题,食量减少了,反而会引起体内蛋白质缺失。这当然也有解决办法:以米氮平促进食欲,徐徐渐进地换猫粮或者吃处方罐头。但是这个办法对于肠道蛋白质吸收不良的老年动物效果虽有用,却不是那么理想。在第3、4阶段的CKD治疗时,要求增加蛋白质的补充,通过输液补充或者是优质蛋白质食物肠道吸收补充。但临床上如果没有足够的化验分析很难判断猫咪属于CKD第几阶段,因此猫咪的肌肉含量就是蛋白质是否应该增加的指标。因为长期动物蛋白质摄入不足的时候,身体会分解肌肉,躯干、四肢的肌肉含量会减少、萎缩,动物会越来越纤细、瘦弱。所以,当你的猫咪发现有肾功能不良时,定期测量体重吧。肾衰越严重,体重检测当越频繁。

Question15:猫咪早期肾功能不良,医生为什么建议我吃鱼油和补充骨化三醇?
Answer15:在1期的CKD里面,治疗主要建议补充骨化三醇(活化的维生素D)/鱼油和做尿液、血压的检测。摄入鱼油主要目的是减少肾损伤引起的任何炎症。骨化三醇仅在肾脏中生产,骨化三醇的作用是将血液中的磷在肾脏转移到尿液中去,然后排出去,调节钙磷比例的平衡在2:1,如果骨化三醇减少,身体内的磷就会升高。所以当肾衰竭导致骨化三醇减少,就会出现高血磷的症状。当血液中的磷增多了,身体甲状旁腺会自动调节提升血液中的钙质到磷的2倍。而这部分的钙质就是来源于骨骼和肠道吸收。所以,慢性肾衰的猫咪会出现骨质疏松,同时,血液中的钙质增多后,会沉淀在肾脏,引起肾结石。
Question16:猫咪发生肾衰竭要不要吃降血压的药?
Answer16:在肾功能不良第2阶段的治疗中,当出现尿蛋白流失和高血压时,就要使用降血压药物(贝那普利、氨氯地平)结合肾脏处方饮食治疗,因为长时间的高血压会增加动物失明和中风的风险,而且会增加蛋白质从尿液丢失的速度。
Question17:呕吐怎么办?
Answer17:马罗皮坦、法莫替丁、雷尼替丁、硫糖铝用上。

Question18:如何治疗慢性肾衰引起的贫血?
Answer18:注射促红细胞生成素、输血、输蛋白、口服铁补充剂、注射维生素B12等。
Question19:猫咪肾衰竭需不需要补充钾?
Answer19:如果猫咪多尿、肌肉萎缩,而且活力下降,需要定期检测血液中钾离子的水平,如果出现低血钾,就需要补充钾离子。低血钾会导致肌肉无力(包括心肌),食欲不振、心肌功能不良。可以口服葡萄糖酸钾。
综上所示,大家总结一下肾的作用:
l 过滤血液中的毒素
l 维持水平衡
l 维持电解质平衡
l 维持酸平衡
l 维持正常血压
l 生成促红细胞生成素
最后,送你个大大是肾。

相关知识
养猫人必须知道的100条养猫常识‼️
建议收藏|猫咪急性肾衰竭的原因、症状和治疗
狗狗肾衰竭的原因 狗狗肾衰吃什么食物好
原创 养猫的几大乐趣,带给你的不止是欢乐
【图片】关于养猫常识新手养猫须知的小常识 #猫咪生活小贴士,做个贴心的【波奇宠物吧】
【布偶猫百科】关于猫的肾衰竭
面对无法避免的老年猫肾衰竭,选择「宠物中医」救治有良效!
80%猫咪死于肾衰竭!你的猫咪“中招”了吗
如果你养猫,连这8个常识都不知道,真的白养猫了
100条新手养猫常识|养前多考虑,养后不遗弃
网址: 猫咪的肾有多容易受伤,养猫后必须知道的关于肾衰竭的几大常识 https://www.mcbbbk.com/newsview128864.html
| 上一篇: 如何妥善应对猫咪肝肾功能下降?康 |
下一篇: 救命!你家猫咪的肾脏功能可能只剩 |
推荐分享
- 1养玉米蛇的危害 28694
- 2狗交配为什么会锁住?从狗狗生 7180
- 3我的狗老公李淑敏33——如何 6236
- 4豆柴犬为什么不建议养?可爱的 4637
- 5南京宠物粮食薄荷饼宠物食品包 4563
- 6中国境内禁养的十大鸟种,你知 4429
- 7湖南隆飞尔动物药业有限公司宠 4259
- 8自制狗狗辅食:棉花面纱犬的美 4257
- 9家养水獭多少钱一只正常 4212
- 10广州哪里卖宠物猫狗的选择性多 4122
