宠物最常见的骨折原因?
这个冬季宠物有一些疾病的频发是出乎我意料之外的,就是各种宠物的骨折。12月份寒风降临,和寒风一起来的还有各种宠物骨折的情况,有狗狗、猫咪、鹦鹉、豚鼠、仓鼠,骨折的原因也是各异,有被车撞的,车压的,从桌子上掉下去摔伤的,在厕所上溜达脚别在里面骨折的……,骨折多数情况下不可怕,但是因为各种动物的身体条件是不同的,所以治疗方法也不同,有些方法用错了甚至会导致死亡。

猫出现骨折的情况相对比较少,这和他们柔软的骨骼和强健的肌肉有关系,他们能在从高处蹦下来的时候在空中调整好身体,进而以一个相对合理的姿势落地,最大幅度减缓冲击力。不过即使是这样,也无法完全避免摔伤导致的骨折,尤其当一只很胖的猫从高处落下的时候,会调整到前脚先落地,如果冲击力很大,前腿支撑位置不佳,会导致受力不均匀,前腿骨折、前脚掌骨折、尾椎骨骨裂是最常见的猫骨折。

猫的骨骼整体还是比较大的,所以多数腿骨的骨折会选择内固定的方法,关节和腿骨骨裂则首选外固定,做好对接后,上夹板绑定。人古话说伤筋动骨100天,宠物其实也差不多了,猫狗的愈合速度相对快也需要45-80天的时间,根据骨折的位置和严重程度不同,恢复时间也有很大差别。
详细的宠物身体健康维护知识或者科学饲养可以去手机市场搜索“家宠家护”APP或者微信小程序,北京的宠物医生实时在线咨询,每天跟踪记录它身体变化,帮您分析之前的化验结果和身体症状,协助它恢复健康,不会糊弄你的私人宠物专家。
狗骨折的病例一个月遇到3只,包含后腿,前腿和颈椎脊椎。成因也各不相同,这和狗狗的生活环境比猫复杂有关系,后腿骨折的狗狗是在外面洗澡时候受伤导致的,因为没有看到录像,怀疑在吹毛时候狗很紧张,从美容台上跌落,狗可没有猫咪那么好的平衡感,所以单条后腿直接支撑在地面,导致后大腿骨骨折。狗在洗澡时候是非常容易出现受伤的,大狗小狗站在美容台的时候,往往只能栓一个细细的P链,所以其实无法阻止狗挣扎,再加上一些美容师的脾气不算好,遇到胆小或者敏感容易有攻击性的狗,经常会发生冲突,导致狗从高台上蹦下来导致受伤。所以当狗狗去外面洗澡的时候,宠物主人不要离开,隔着玻璃看着狗狗也能让它们放松。

最近几年狗狗骨折最多的情况是车祸,而且很多都不是别人撞的,是自己驾车导致狗狗骨折的。例如很多人骑电动摩托车,让狗坐在前面脚踏板的地方,当拐弯或者刹车的时候,狗很容易被甩出去;还有就是自己家院子里停车,狗狗靠着轮胎休息,宠物主人开车时候没有注意到宠物,结果碾到狗的四肢。
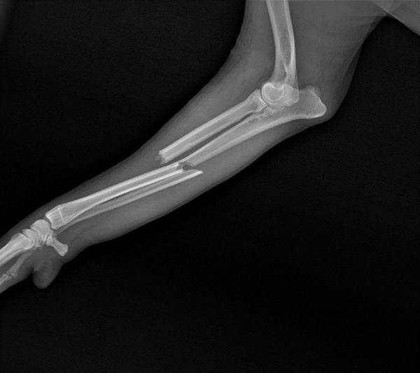
2周前上班路上,前面一辆电动自行车带着一只狗,在躲避行人的时候车猛的拐弯,车倾斜的时候狗顺势下地,后车轮从狗腿上碾过,瞬时血肉模糊。立刻用衣服铺在地上,给狗放在羽绒服上整体托起,赶快送到医院X光检查,一条腿只是表皮蹭掉一块肉,另外一条腿尺骨骨裂,颈椎和脊椎没有明显的骨裂。因为没有彻底断裂,所以没有做内固定,在外面用夹板固定,随后对皮肉伤进行消炎治疗。经过1周后精神和食欲才逐步恢复,狗狗尝试站起走路,排除脊椎受损可能,慢慢走出惊吓的阴影,这如果压过的是脖子或者脊椎,面临的可能就是后半生的瘫痪了。

详细的宠物身体健康维护知识或者科学饲养可以去手机市场搜索“家宠家护”APP或者微信小程序,北京的宠物医生实时在线咨询,每天跟踪记录它身体变化,帮您分析之前的化验结果和身体症状,协助它恢复健康,不会糊弄你的私人宠物专家。
如果猫和狗的骨折我们还可以在宠物医院相对好的治疗,异宠的骨折就难多了。我平时遇到的小宠物骨折也很多,鹦鹉腿和翅膀的骨折,豚鼠和仓鼠的前后腿骨折,随着养豚鼠仓鼠的人越来越多,遇到的这种意外伤害频率也更高了。豚鼠仓鼠遇到骨折最常见的也是2个情况。

1:宠物主人经常给它们放在桌子上或者床上玩耍,一不注意它们就可能从桌子边跌落下去,豚鼠是有名的大身体小四肢,跌落时候如果腿先着地,骨折是大概率的事件;
2:更常见的危险就在它们的笼子里,很多豚鼠主人是给它们用网格厕所,这是非常危险的事情,豚鼠经常会把脚趾漏到网格里,随后意外卡住,如果扭动用力不对就会导致后腿肌肉拉伤或者骨裂,甚至骨折。

我在国内遇到过好几次,当宠物主人带着骨折的仓鼠或者豚鼠去宠物医院的时候,竟然医生要给它做手术!!我估计这些医生应该是猫狗医生,可能从来没有遇到过小宠物骨折的情况,仓鼠豚鼠的骨折是不能轻易手术的,因为它们的骨骼非常细和脆,是没有办法进行内固定的,所以手术本身是没有任何意义。在美国异宠医生绝对不会给腿骨折的仓鼠豚鼠做内固定手术,在以前经验不丰富的时期,手术的死亡率非常高,不手术还有存活的可能性。所以正确的方法是进行外固定和止疼,限制活动,补充钙和维生素。

小宠物骨折治疗的难点其实是从15天左右开始,当骨折的地方不那么疼了,身体力量恢复的时候,它们就开始活跃。小宠物没有很强的服从性,所以一定会到处玩耍,这个时候如果不能很好的控制它们,会导致骨折的地方重新断开,一切治疗恢复到最开始。
宠物骨折是我们都不愿意看到的事情,所以日常生活里多一点细致,少一点冒险和粗心,就能给它们带来安全和健康。
猫狗的库欣综合征
养豚鼠需要准备的6件必需品
狗的护食行为纠正(上)
宠物猫最常见的3种饲养疾病
相关知识
宠物最常见的骨折原因?
原创 宠物最常见的骨折原因?
宠物猫咪骨折后的康复之路(探究猫咪骨折的原因及治疗方案)
小动物常见骨折的处置方法探讨
宠物常见骨折的急救措施
宠物常见的骨折处理方法
狗狗骨折原因
狗狗骨折,你需要知道的一切:费用、原因、预防及应对
宠物的常见骨折及治疗方法
狗狗骨折,如何帮助宠物康复?(宠物骨折的常见类型和处理方法)
网址: 宠物最常见的骨折原因? https://www.mcbbbk.com/newsview1322792.html
| 上一篇: 直销人气热卖宠物荷兰猪活体短顺毛 |
下一篇: 推荐宠物:适合国内家庭养的宠物种 |
推荐分享
- 1养玉米蛇的危害 28694
- 2狗交配为什么会锁住?从狗狗生 7180
- 3我的狗老公李淑敏33——如何 6236
- 4豆柴犬为什么不建议养?可爱的 4637
- 5南京宠物粮食薄荷饼宠物食品包 4563
- 6中国境内禁养的十大鸟种,你知 4429
- 7湖南隆飞尔动物药业有限公司宠 4259
- 8自制狗狗辅食:棉花面纱犬的美 4257
- 9家养水獭多少钱一只正常 4212
- 10广州哪里卖宠物猫狗的选择性多 4122
