一例犬瘫痪的针灸、中药诊疗报告,其它
摘要:
路卡、边牧串、雄性(未去势)、9岁。
患犬2023年2月底洗澡后倒地不起,前肢关节肿胀,不吃不喝,CT检查发现椎间盘突出导致瘫痪。
中兽医检查及辨证为肾阳虚,脾气虚,膀胱湿热,瘀滞。经过中兽医(针灸、中药)治疗,患犬能够小跑一段,主人比较满意。
宠物信息:
路卡,雄性,9岁,边牧串,体重21kg。
既往病史:
该犬1岁时得过细小,8岁有尿结石手术病史,2023年2月底刚去乡下几天,家人表述说,一次洗澡后第二天,狗狗倒地不起,前肢关节肿胀,不吃不喝,都靠平时强喂,有去兽医站打过消炎针,没有好转,3月1日晚上到院急诊,体温正常,呼吸浅急,心率正常,四肢冰凉,无法站立,二便失禁,无深痛。
中西医诊断:
中兽医检查:
五行性格:属木
舌质:偏紫
神:神色呆滞
脉象:脉弦
触诊:四肢末端发凉、无深痛
温度喜好:喜暖
望诊:消瘦、毛发干燥
二遍:小便失禁、尿黄、便秘
饮食:无食欲
西医检查:
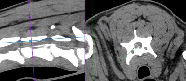
CT检测结果显示C4-C5汉森I型椎间盘脱出压迫神经

中兽医辨证:
肾阳虚、脾气虚、瘀滞
中兽医治疗:
补肾阳、补气行气
中西医治疗:
针灸:
就诊前三天(未进行CT检查)
LI-10、ST-36、GB-34、CV-4、CV-6、BL-26、Shen-shu、shen-peng、shen-jiao、KID-3、BL-23、KID-1、Liu-feng
3月5日(CT确诊后 调整穴位如下)
电针:GV-14+GV-15、SI-9+KID-3、LIV-3+LI-4、C4-C5jing-jia-ji
局部选穴:LI-10、LU-7
背腧穴:BL-21、BL-23、BL-26
水针:BL-40
中药:
颈痛方(JT)、金匮肾气(JT)
西医治疗:
急性治疗期,输液调节电解质,保温处理。
2023.3.25复诊,该犬走路时后肢偶尔偏向右侧,体重恢复到23公斤(就诊时21kg),给予针灸治疗,选用穴位:头百会 Shen-shu、Bai-hui、BL-23、KID-3、jing-jia-ji。
病例进展:
患犬初诊时,经过三天中兽医针灸诊疗,能够自主饮食,恢复皮温,且针刺KID-1具有敏感性。就诊后期在主人的配合下,患犬通过针灸结合中药治疗,可以小跑,后腿偶有轻微摇摆表现。
小结:
此病例病变涉及到脾、肾,需根据病变合理使用中药及针灸穴位。
中兽医在临床中的认可度:
近年来,随着宠物行业的快速发展,宠物疾病的临床诊疗技术也在不断进步。中兽医作为我国传统的兽医学,有自己独特的优势,而中兽药和针灸术作为中兽医的重要组成部分,在宠物临床上应用越来越广泛。
1. 在中兽药认可程度上,61.69%的宠物医生和 53.41%的宠物主人认为中兽药效果良好。在针灸认可程度上,62.45%的宠物医和 54.17%的宠物主人认为针灸效果良好。
2. 宠物医生和宠物主人对中兽药和针灸认可度较高,认为中兽药药效温和占比分别为 78.16%和 73.11%,其次为副作用小(77.01%和73.48%)。对针灸协同其它疗法进行综合治疗疗效突出,分别为 70.5%和 53.41%。
3. 宠物医生和宠物主人推崇使用中兽药治疗宠物犬疑难杂症占比分别为 67.43和 65.91% ;推崇使用针灸治疗宠物犬运动障碍、瘫痪性疾病占比分别为85.06%和 67.8%。
4. 在治疗宠物犬疾病中宠物医生和宠物主人选择使用中成药占比分别为 75.48和 60.61% ;宠物医生运用防治宠物犬疾病中白针术使用最多为 63.98%,艾灸****为 70.88% ;宠物主人选择运用白针术****为 48.11%,艾灸****为 68.18%。
5. 95.79%的宠物医生对中兽医在宠物诊疗领域的发展充满信心,89.02%的宠物主人认为中兽医很有发展前途。
6. 宠物医生在治疗犬瘟热、犬犬传染性肝炎、细小病毒病时使用中西医结合疗法占比分别为 65.15%、51.52%和58.33%;宠物医生在治疗宠物犬消化系统、呼吸系统、循环系统、生殖系统、泌尿系统、神经系统、老年性疾病时,运用中兽医疗法治疗犬腹泻、犬感冒、犬贫血、犬不孕症、犬肾炎、犬瘫痪、犬疥螨和犬老年性便秘,占比****分别为 65.15%、50.76%、48.48%、40.15%、42.05%、63.26%、46.59%和 57.58%。
中兽医技术防治宠物犬疾病疗效确切。中33兽医技术在宠物犬疾病防治中的应用具有重要的临床实践意义。
参考文献:
肖 彬.中兽医技术在宠物犬疾病防治中的应用现状调查及典型病例分析[D].山东农业大学,2021.
周小玲
Chi University CVA
福州达林宠物医院 院长;从事兽医工作长达11年;获得多项专科培训认证;Chi University 2022级国际兽医针灸师认证(CVA)
相关知识
“宠物中医”悄然兴起,针灸、中药、食疗各展所长
针灸、吃中药、按摩……宠物“中兽医”诊所火了
针灸、吃中药、按摩…… 宠物“中兽医”诊所火了
一例猫尿闭的中西医诊疗报告,肾系统疾病
不可思议!宠物针灸,让瘫痪猫狗站起来
宠物瘫痪的针灸新疗法
一例犬胰腺炎的病例报告
给宠物扎针灸喝中药是什么体验
一例动物激光治疗斗牛犬急性瘫痪成功案例
一例猫中枢神经疾病的中医治疗
网址: 一例犬瘫痪的针灸、中药诊疗报告,其它 https://www.mcbbbk.com/newsview1337477.html
| 上一篇: 宠物疾病防控措施详解.docx |
下一篇: 宠物医院鹦鹉疫苗接种全指南 |
推荐分享
- 1养玉米蛇的危害 28694
- 2狗交配为什么会锁住?从狗狗生 7180
- 3我的狗老公李淑敏33——如何 6236
- 4豆柴犬为什么不建议养?可爱的 4637
- 5南京宠物粮食薄荷饼宠物食品包 4563
- 6中国境内禁养的十大鸟种,你知 4429
- 7湖南隆飞尔动物药业有限公司宠 4259
- 8自制狗狗辅食:棉花面纱犬的美 4257
- 9家养水獭多少钱一只正常 4212
- 10广州哪里卖宠物猫狗的选择性多 4122
