新瑞鹏芭比堂动物医院上海机灵鬼分院:以专业赢得信赖
近年来,随着宠物角色逐渐家庭化以及老龄化趋势显现,宠物医疗需求正朝着专业化、精细化方向快速发展。近日,新瑞鹏集团旗下的上海芭比堂机灵鬼宠物医院凭借其特色专科建设与多学科协作模式,赢得了众多宠主的认可,成为沪上宠物健康管理的重要力量。
医院聚焦专科发展,目前已形成涵盖肿瘤科、心脏科、疑难内科、眼科、牙科与骨外科的六大特色专科。在院长石晶的带领下,各专科团队不仅在设备上配备了先进仪器,更通过持续参与国内外学术交流,不断提升临床诊疗水平。

肿瘤科:精准打击,生命赢得转机
近年来宠物肿瘤发病率逐步上升,石晶院长在淋巴瘤、肥大细胞瘤、鳞状上皮细胞癌等各类肿瘤疾病拥有丰富的临床经验,医院配备了先进的化验设备,不仅提供肿瘤切除手术,还引进化疗、靶向治疗等综合治疗方案,为每只宠物制定个体化治疗方案,显著提高了宠物的生活质量和生命周期。

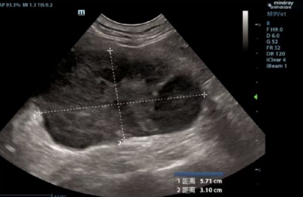
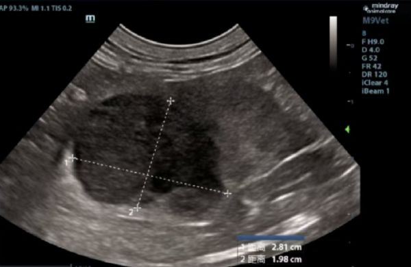
此前,一只8岁的猫咪因食欲下降、体重减轻就诊,经超声检查发现腹腔内有两处明显肿块,因肿物位于肾脏且猫咪体况较差,直接开腹进行病理检查损伤较大,石晶院长根据临床经验建议主人进行细针抽吸、血液检查等。细胞学检查确诊为肾脏淋巴瘤。随即进行化疗治疗,治疗后肾脏内肿瘤大小明显好转。


石晶院长强调“我们关注的不仅是消除肿瘤,更是保障宠物在治疗过程中的生活质量”她多次参加国内外专科交流,精进专科技术,加强服务理念,这份专业与爱心深受宠主们的信任。
眼科:明眸善睐,守护视界清晰
宠物眼睛健康直接影响其生活质量,深耕眼科20多年的金芹医生,出色的完成了1000例以上复杂眼科手术。医院配备了高端眼科手术显微镜、超声乳化仪、裂隙灯、眼压仪等专业设备,能够诊断和治疗白内障、青光眼、角膜溃疡、视网膜疾病等多种眼科疾病。

金芹医生带领的宠物眼科团队不仅开展常规的眼科手术,更在复杂外伤修复、大疱性角膜炎等复杂疾病具有独特优势,经个性化方案、精准手术、术后康复等方面帮助许多濒临失明的宠物重建光明。一只6岁的比熊犬因角膜变大就医,经专业眼科检查发现左眼中央角膜水肿,随时可能穿孔,确诊为大疱性角膜炎,经过角膜热成型术治疗,术后角膜愈合良好,血管开始退行。

骨外科:精准修复,重获行动自由
针对宠物骨折、关节疾病和脊柱问题,由罗斌医生的带领下组成骨外科专科团队,拥有丰富的临床经验和精湛的手术技术。能够运用专业设备开展复杂骨折内固定、关节置换、十字韧带修复、髋关节发育不良矫正等高难度手术,术后也会给予专业的康复治疗,加速恢复行动能力。

心脏科:精细检测,守护每次心跳
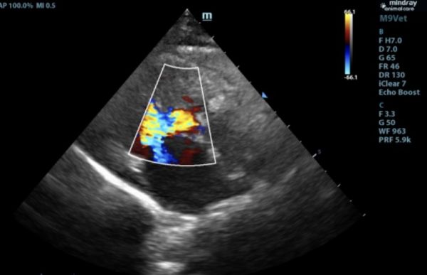
心脏疾病是老年宠物常见的健康问题,医院配备了进口心脏彩超设备,能够精准诊断各种心脏疾病。负责心脏科的张培培医生擅长心肌病、肥厚型心肌病等复杂心血管疾病,并提供长期药物管理和定期随访服务,帮助宠物维持良好的心脏功能。

此前,6岁的猫咪因抽搐呕吐,后腿无力就诊,经查后发现左心室心肌及室间隔厚度增加,主动脉和二尖瓣均存在反流,诊断为肥厚型心肌病。口服利尿剂和抗血栓药物,一周后精神好转,再无出现抽搐、呕吐、后腿无力等现象。


疑难内科:抽丝剥茧,破解健康谜题
面对症状复杂、诊断困难的疑难病例,经验丰富的毛三峰医生,通过先进的实验设备和影像学检查,为宠物提供全面、系统的诊断服务。在肾病、肝病、内分泌疾病及免疫系统疾病等领域积累了丰富的诊疗经验,成功解决了转诊病例和疑难杂症。

9岁比熊犬因流鼻涕、不排便就医,经体格检查后发现下颌淋巴结,全身水肿,皮下出血、右侧面部、鼻腔处肿胀。因患有糖尿病史,血液检查后诊断为酮症酸中毒、自体免疫介导性疾病,住院治疗期间检测血糖、调整电解质平衡、使用免疫抑制剂等,住院12天后状态恢复良好,出院回家。

值得一提的是,医院注重多学科协作机制的建立。在面对复杂病例时,可组织专科专家进行联合会诊,制定个体化治疗方案,从而实现对宠物生命的全方位守护。开业至今,医院累计接诊量已超过30万例,其专业的服务与显著的诊疗效果,使其获得了行业与宠主的广泛好评。
新瑞鹏集团作为宠物医疗行业的领先机构,始终致力于推动医疗服务与技术水平的提升。芭比堂动物医院上海机灵鬼分院表示,未来将继续秉持“值得生命信赖”的宗旨,以专业技术和人文关怀,为更多宠物家庭提供安心、可靠的医疗健康服务。
【广告】免责声明:本内容为广告,相关素材由广告主提供,广告主对本广告内容的真实性负责。本网发布目的在于传递更多信息,并不代表本网赞同其观点和对其真实性负责,广告内容仅供读者参考。
相关知识
芭比堂动物医院(机灵鬼分院) 上海芭比堂动物医院(机灵鬼分院)地址
【芭比堂动物医院(上海机灵鬼分院)】怎么样
【芭比堂动物医院(上海机灵鬼分院)】怎么样,电话,地址,价格,评价
【芭比堂动物医院(上海机灵鬼分院)】怎么样,地址,电话,价格,点评
芭比堂爱心动物医院简介
芭比堂动物医院→榜中榜
北京芭比堂动物医院(朝阳分院)简介
【芭比堂动物医院】怎么样
上海宠物医院排名前十
芭比堂动物医院三家分院荣获2021年度新锐宠物医院全国TOP100荣誉称号
网址: 新瑞鹏芭比堂动物医院上海机灵鬼分院:以专业赢得信赖 https://www.mcbbbk.com/newsview1343116.html
| 上一篇: “投保热”遭遇“理赔冷” 直播爆 |
下一篇: 修远宠物牙科:宠物口腔健康管理的 |
推荐分享
- 1养玉米蛇的危害 28694
- 2狗交配为什么会锁住?从狗狗生 7180
- 3我的狗老公李淑敏33——如何 6236
- 4豆柴犬为什么不建议养?可爱的 4637
- 5南京宠物粮食薄荷饼宠物食品包 4563
- 6中国境内禁养的十大鸟种,你知 4429
- 7湖南隆飞尔动物药业有限公司宠 4259
- 8自制狗狗辅食:棉花面纱犬的美 4257
- 9家养水獭多少钱一只正常 4212
- 10广州哪里卖宠物猫狗的选择性多 4122
