可爱狗狗却有口臭!进来对症处理!
相信在座的各位狗狗铲屎官都经历过和狗狗玩耍、被狗狗亲热舔舐的时候,
但如果这个时候狗狗嘴巴pang臭!是不是就很不美好了!
图源网络
其实狗狗嘴巴有臭味分为口腔型口臭、肠胃型口臭、糖尿病型口臭、肾脏型口臭,4种原因,对症处理!
口腔型口臭
味道:臭鸡蛋味儿
原因:食物渣残留,导致口腔残渣腐烂滋生细菌
处理方法:注意口腔卫生,定期刷牙,每周给狗狗刷牙2-3次,要用狗狗专用的牙膏牙刷
图源网络
口腔溃疡 :一般会流口水,牙龈红肿,嚼食及吞食艰难
处理方法:
保持口腔卫生
补充维生素B
调整饮食结构
狗狗患有口腔溃疡的情况下,不要继续喂食干狗粮,以及骨头等干硬的食物;
建议喂食一些小米肉末粥、汤水等流食,这样可以方便狗狗咀嚼消化
图源网络
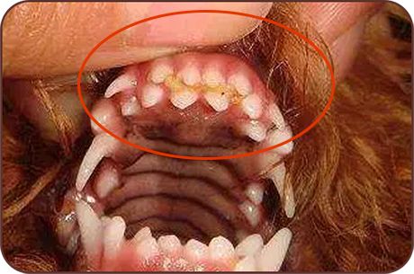
牙结石:出现口臭、牙龈红肿、流口水,牙结石一般为浅黄色至黄褐色
处理方法:
应及时送往正规的宠物医院进行治疗,病情不严重者,可用超声波洁牙器彻底清除牙垢和牙结石,并对口腔进行消毒
平常应注意狗狗口腔的清洁,消除口腔食物残渣及牙垢
图源网络
可以考虑使用正规的各类口腔清洁剂,定期去宠物医院进行口腔检查
多饲喂粗糙食物,少食用稀软日粮,同时还可以购买狗狗磨牙棒咬胶等锻炼狗狗的牙齿,提高牙齿的自洁能力
注意饮用水的质量,特别是不能饮用高度矿化的地下水
图源网络
牙龈炎:一般会伴有口臭、出血、肿痛等症状
处理方法:
定期给狗狗刷牙。条件允许的话,尽量定期带着狗狗去洗牙、护牙,可防止很多的口腔疾病和牙齿疾病
饮食清淡。避免喂食油腻荤腥的食物,饮食以低油脂,低盐分为主
双排牙
处理方法:
磨牙棒:狗狗在3-6个月期间正处于换牙期,这时候可以给狗狗准备些磨牙棒、咬胶等来增加牙齿咬合力,帮助脱牙
补钙:换牙期时,适当给狗狗补钙,喂一些干狗粮,减少软食的摄入
就医:狗狗过1岁之后,依然保持这双排牙的情况,要及时带狗狗去宠物医院,让医生帮狗狗拔掉乳牙
图源网络
肠胃型口臭
味道:酸臭味儿
原因:
1.长期的便秘会导致胃肠道食物的发酵,就会引起异味
→处理方法:这时需要改善便秘的情况,可以经常揉捏肚子或经常运动
图源网络
2.长期的软便也会导致口臭,因为长期软便会导致肠道菌群失调,从而引发异味
→处理方法:这时可以口服益生菌来改善肠道菌群,粪便正常后口臭就会改善
3.消化不良引起,出现胃气上涌的情况,也可能会有口臭
→处理方法:可以先停止喂食,口服益生菌,帮助消化肠胃里的食物(比如南瓜、山药、红薯、香蕉、燕麦等);
后续可以喂一些容易消化的食物,并在喂食半小时后带狗狗出门散散步,帮助肠胃消化
糖尿病型口臭
味道:臭苹果味儿
原因:
有糖尿病的狗狗也会表现出口臭的症状,特别是糖尿病酮症酸中毒
当糖尿病不受控制的情况下,还会“抑制免疫系统工作,让口腔内的细菌不受控制的不断繁衍”,导致口臭进一步加剧。
处理方法:
及时就医检查葡萄糖耐量实验、检测果糖胺和检测糖基化血红蛋白
饮食调整:主食尽量选择无糖狗粮或糖尿病处方粮,吃食低碳水的食物,如肉类、牛奶等;补充适量的维生素B
运动:进餐后30分钟带狗狗进行1小时的运动,每天2次,运动可以加快胰岛素在注射部位的扩散速度,有效降低血糖
肾脏型口臭
味道:尿素味儿/氨气味儿
原因:肾脏疾病或肾功能衰竭等代谢性疾病也会引起狗狗口臭,肾功能下降会使狗的呼吸闻起来有氨味儿,这是因为肾脏排出的废物在血液中积聚,然后转到了狗狗的呼吸中。一般会出现多饮多尿、或者少尿、体重和食欲异常、精神不振
处理方法:
及时就医,做相关肾脏B超、肾功能检查,再对症医治
控制饮水,可以咨询后选择处方粮调养,听从医生的合理建议
图源网络
#狗狗#
相关知识
狗狗口臭怎么办
狗狗口臭怎么办该怎样消除
狗狗口臭怎么处理
为什么狗狗会有口臭?狗狗口臭怎么办?
狗狗口臭问题大揭秘!
狗狗口臭的 12 个常见原因
狗狗为什么会容易口臭?口臭怎么办?教你几个解决的办法
狗狗口臭严重怎么办?4个方法轻松解决!
狗狗口臭的5种原因,你知道该怎么解决吗?
狗狗口臭很严重吃什么药
网址: 可爱狗狗却有口臭!进来对症处理! https://www.mcbbbk.com/newsview135333.html
| 上一篇: 狗狗有口臭怎么办?不用急,5招教 |
下一篇: 狗狗嘴臭解决方法 |
推荐分享
- 1养玉米蛇的危害 28694
- 2狗交配为什么会锁住?从狗狗生 7180
- 3我的狗老公李淑敏33——如何 6236
- 4豆柴犬为什么不建议养?可爱的 4637
- 5南京宠物粮食薄荷饼宠物食品包 4563
- 6中国境内禁养的十大鸟种,你知 4429
- 7湖南隆飞尔动物药业有限公司宠 4259
- 8自制狗狗辅食:棉花面纱犬的美 4257
- 9家养水獭多少钱一只正常 4212
- 10广州哪里卖宠物猫狗的选择性多 4122
