病例讨论丨你的诊断是什么?
病史
一只3岁的白色瑞士牧羊母犬(已绝育)因严重非承重右侧盆腔肢体跛行4周,被送往医院接受进一步检查。
最初她因右膝关节前侧出现2cm的撕裂导致急性跛行而被送往急诊中心。兽医对撕裂伤口进行了冲洗并闭合。第二天,患犬前往动物医院拍摄了右膝关节X线片,结果显示髌骨韧带增厚。
该患犬出院后服药2周:阿莫西林,12.5mg/kg,PO,每12小时一次;美洛昔康0.1mg/kg,PO,每24小时一次。她从最开始的等级4/5跛行缓解到了2/5级。
转诊检查时,生命体征在正常范围内,右侧盆腔肢体表现出中度至重度负重跛行。无法在意识清醒状态下对患犬进行全面的骨科检查;该母犬倾向于将其右膝关节保持在屈曲位。
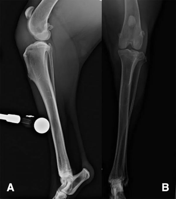
使用0.03mg/kg的乙酰丙嗪、0.01mg/kg的美托咪定和0.1mg/kg的美沙酮组合进行深度镇静,以进行膝部X线造影(图1)和超声检查(图2)。镇静检查期间唯一发现的异常是右侧髌骨韧带增厚。

图一 3岁白色瑞士牧羊母犬(已绝育),4周右侧盆腔肢体跛行病史,右侧膝关节侧位(A)和前后位(B) X线图。

图二 髌韧带近端部分 (A)、髌韧带远端部分和附着部位 (B) 的纵向超声图像。从左到右为动物站立时近端到远端方向。
在评论区留下你的分析思路和鉴别诊断,我们明天揭晓答案!
双十一活动火热进行中!
相关知识
眼科病例讨论
【专题讨论】宠物影像(超声,X线)诊断(热力组织讨论中……)
一例犬库兴氏综合症病例诊断
病例分析教学法在宠物内科教学中应用.doc
美国宠物医院一例犬腹水病例的诊断及全面分析
一例运用缩短消除诊断食物诱导特应性皮炎饮食方案的病例报告
宠物狗典型骨折病例的诊断与治疗
一例犬骨软骨病病例
小动物超声影像诊断--看图讲病例
猫肾脏三种常见疾病的调查与诊断治疗
网址: 病例讨论丨你的诊断是什么? https://www.mcbbbk.com/newsview250425.html
| 上一篇: 狗狗股骨头脱位了怎么办 | 下一篇: 猫咪股骨骨折必须做手术吗?术后如 | 
推荐分享
 
                
                
                
                - 1养玉米蛇的危害 28694
- 2狗交配为什么会锁住?从狗狗生 7180
- 3我的狗老公李淑敏33——如何 6236
- 4豆柴犬为什么不建议养?可爱的 4637
- 5南京宠物粮食薄荷饼宠物食品包 4563
- 6中国境内禁养的十大鸟种,你知 4429
- 7湖南隆飞尔动物药业有限公司宠 4259
- 8自制狗狗辅食:棉花面纱犬的美 4257
- 9家养水獭多少钱一只正常 4212
- 10广州哪里卖宠物猫狗的选择性多 4122






