一例犬传染性性病肿瘤(TVT)的诊治
【导读】 摘要:犬传染性性病肿瘤(TVT),是一种犬自然发病的水平传播性肿瘤,偶见于其他犬科动物,如狐狸。在育种控制松散、流浪犬只较多的地区,该疾病较为常见,此外,该疾病发病率与降雨量
摘要:犬传染性性病肿瘤(TVT),是一种犬自然发病的水平传播性肿瘤,偶见于其他犬科动物,如狐狸。在育种控制松散、流浪犬只较多的地区,该疾病较为常见,此外,该疾病发病率与降雨量、平均年度气温呈正比。笔者就接诊的一例犬传染性性病肿瘤报告如下。
患犬为一2岁龄左右混血、流浪母犬,绝育情况不明,阴道可见一巨大的菜花样肿块,不断有血性液体流出,患犬食欲、精神尚可。
1 临床检查
T:38.2℃,P:98次/分,R:23次/分,W:10.3kg;体型偏瘦,鼻镜湿润,诱咳阴性,听诊肺呼吸音尚可;阴道结节菜花样肿块不断有血性液体流出,恶臭、质脆、严重红肿(见图1);其他未见明显异常。
图1 肿块外观
2 辅助检查
2.1 血常规检查结果:仅见白细胞轻微升高(见表1)。
表1 血常规检查结果

2.2 血液生化检查结果:暂未见明显异常。
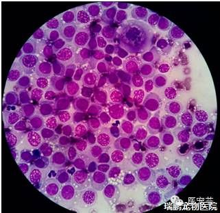
2.3 细胞学检查结果:细针无负压穿刺后抹片染色,除可见少量裸核的嗜中性粒细胞、大量的淋巴细胞或浆细胞外,还可见大量细胞核内出现圆形或椭圆形的透明空泡细胞。
图2 细针采样细胞学检查
2.4 影像学检查结果:结肠、直肠段可见大量规则、高密度影像,疑似积粪;阴门处有一密度与肌肉相近的突出肿块(见图3),其他暂未见明显异常。
图3 右侧位X线片
2.5 组织病理学检查结果:HE染色后可见部分炎性细胞浸润,细胞核大小不等,细胞间质较少、可见多个核分裂像、细胞质空泡化(见图4、5)。
图4 40倍镜下切片图片
图5 100倍油镜下局部放大图片
3 初步诊断
综合患宠临床症状、细胞学及组织病理学检查,初步诊断为传染性性病肿瘤。
4 治疗
本病例以化疗为主,按照0.75mg/平方体表面积静脉推注长春新碱,每周一次,同时按照4mg/公斤体重口服泼尼松片剂,第一周每天一次,以后每2天一次。3周后复查,可见菜花样肿块明显缩小,红肿逐渐消失,血性渗出物减少(见图6)。持续治疗6周后,肿块完全萎缩仅可见少量增生后的结缔组织,红肿、血性渗出物完全消失(见图7),停止化疗。停止化疗1个月后回访,患宠未见明显异常。
图6 治疗3周后
图7 治疗6周后
5 小结
外生殖器是传染性性病肿瘤的常发部位,偶发于鼻部、口腔、皮下组织。本疾病主要通过动物交配途径垂直传播,具有明显的传染性,也有研究指出,该疾病还可通过舔咬病变部位,将活性的肿瘤细胞移植到破损的粘膜上而感染。
该疾病易与阴道增生区别。阴道增生物表面较光滑,颜色与正常阴道壁颜色相同,无出血症状,而传染性性病肿瘤除见明显鲜红色、结节样增生物外,常伴有血性液体流出,本病例中,患宠已经表现出该疾病的典型症状。此外组织病理学检查是确诊该疾病的准确手段,大量胞浆内出现大小相似的透明空泡是该疾病最具特征性特点。
免疫系统在传染性性病肿瘤的自然发病过程中起着极其重要的作用,该疾病会在生长和增殖期之间发生转换,然后进入静止期。如果动物机体免疫状态正常,则肿瘤会自发性的消退。如果机体免疫抑制或注射过疫苗,则肿瘤会增殖,进而表现出临床症状。该疾病有2-6个月的潜伏期,所以临床上部分犬只在感染后3个月左右会出现自发性的消退,但如果超过6个月或更长时间,则需要进行治疗方可消退。长春新碱因其相对比较安全,价格适中,可作为治疗传染性性病肿瘤的首选药物,治疗2到6周后效果最为明显。
因为该疾病在免疫状态良好的犬只中能够自发性的消退,单纯的长春新碱治疗也可取得良好并持久的肿瘤消退结果,所以该疾病临床预后良好。
伍乐乐
瑞鹏宠物医院医师
毕业后一直从事宠物医疗工作。富有爱心、责任心,耐心周到,受到广大宠主好评。
对犬猫传染病、呼吸道疾病、泌尿系统疾病有较深入的研究。
积极参与培训学习,积极与同行交流,不断提高自身的诊疗水平,立志让每一只宠物健康快乐。
主要研究方向:泌尿系统疾病
上一篇:狗狗常见的8种肿瘤
下一篇:犬睾丸肿瘤及治疗
相关知识
犬肿瘤病的发病情况调查及诊治
一例犬睑腺炎的病例诊治报告
犬乳腺肿瘤的肿瘤行为学概述
一例猫中枢神经疾病的中医治疗
【肿瘤】狗狗的肿瘤是不治之症吗?|再见宝贝高端宠物善终连锁
犬猫牙周病的诊治思路和日常护理
宠物疾病诊治教学大纲(doc9页)(完美版)(7页)
喜莉宠物小百科|仓鼠常见疾病(上)常见疾病——肿瘤 宠物症状
宠物犬猫毛发质量的评定方法及营养调控技术研究进展
一例犬软组织肉瘤病例分享——精准检测如何破解宠物肿瘤科诊断“假象”?
网址: 一例犬传染性性病肿瘤(TVT)的诊治 https://www.mcbbbk.com/newsview35019.html
| 上一篇: 虚弱嗜睡没精神?4大措施提高宠物 |
下一篇: 萌邦宠物首亮相 积极探索互联网+ |
推荐分享
- 1养玉米蛇的危害 28694
- 2狗交配为什么会锁住?从狗狗生 7180
- 3我的狗老公李淑敏33——如何 6236
- 4豆柴犬为什么不建议养?可爱的 4637
- 5南京宠物粮食薄荷饼宠物食品包 4563
- 6中国境内禁养的十大鸟种,你知 4429
- 7湖南隆飞尔动物药业有限公司宠 4259
- 8自制狗狗辅食:棉花面纱犬的美 4257
- 9家养水獭多少钱一只正常 4212
- 10广州哪里卖宠物猫狗的选择性多 4122
