犬子宫蓄脓的B超影像学诊断
犬子宫积脓指子宫腔内积有脓液,是发情后期的一种疾病,特征是子宫内膜异常并继发细菌感染。子宫内蓄积大量脓性渗出物不能排出时,称为子宫蓄脓。
犬子宫蓄脓是临床上较常见的一种母犬生殖系统疾病,临床发生率较高,如不及时治疗会造成脓毒败血症而引起死亡。通过了解病史、临床症状可以对患子宫蓄脓的犬作出初步诊断,在此基础上,结合应用B超进行辅助诊断就可以对子宫蓄脓病犬作出确诊,以便及时治疗该病。
诊断中要与正常怀孕进行鉴别:
在妊娠早期,由于胚胎发育形成多个囊状结构,内可见胎芽,在妊娠的中后期,胎儿轮廓逐渐清晰,脊椎骨和头骨呈现强回声,还可观察到胎心搏动,个别也可根据病程复查,同时也要结合发病史、临床症状等综合诊断。
早期患子宫内膜炎B超诊断很困难,随着子宫增粗,子宫内膜炎容易诊断,等患病到一定程度化脓炎症的脓汁增多,更容易用超声诊断。
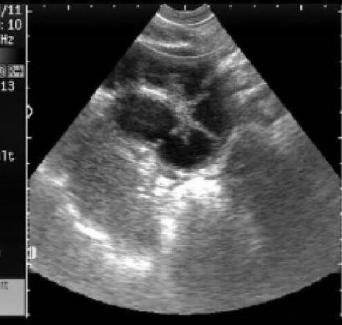
犬子宫蓄脓的典型B超声像图为:

犬怀孕声像图为:

即刻关注凯信微信号xzkxele,就能查看更多关于宠物彩超、宠物B超、犬猫超声的产品详情。(只需在公众号里搜“凯信超声”或扫描下方的二维码就可以加关注!)如需咨询报价信息,可联系客服热线15050003098 400-928-6626.

相关知识
犬子宫蓄脓的B超影像学诊断
宠物疾病:子宫蓄脓
狗狗子宫蓄脓是B超检查还是X光拍片更准确呢
临床常见宠物疾病影像诊断技术
汪指南 | 母犬杀手,子宫蓄脓
犬、猫妊娠的B超诊断
狗狗子宫蓄脓的预防与治疗
春季疾病多发期!让宠物远离子宫蓄脓!症状一览及治疗方式
让宠物远离子宫蓄脓!症状一览及治疗方式!春季疾病需警惕
仓鼠子宫蓄脓发现与治疗
网址: 犬子宫蓄脓的B超影像学诊断 https://www.mcbbbk.com/newsview351993.html
| 上一篇: 宠物B超机犬猫子宫卵巢常见疾病及 |
下一篇: 犬猫胃肠道异物的超声影像学诊断 |
推荐分享
- 1养玉米蛇的危害 28694
- 2狗交配为什么会锁住?从狗狗生 7180
- 3我的狗老公李淑敏33——如何 6236
- 4豆柴犬为什么不建议养?可爱的 4637
- 5南京宠物粮食薄荷饼宠物食品包 4563
- 6中国境内禁养的十大鸟种,你知 4429
- 7湖南隆飞尔动物药业有限公司宠 4259
- 8自制狗狗辅食:棉花面纱犬的美 4257
- 9家养水獭多少钱一只正常 4212
- 10广州哪里卖宠物猫狗的选择性多 4122
