老龄松狮犬全耳道耵聍腺瘤的诊治及注意事项梳理

投稿作者:王玉琴
摘要
耵聍腺是位于外耳道的改良顶泌管状汗腺。它的分泌物与皮脂腺的分泌物结合形成耵聍,耵聍是一种棕色蜡状物质,保护耳道并保持鼓膜湿润和柔韧。耵聍腺瘤是犬猫常见的耳道肿瘤。本文记录一例老年松狮犬右侧全耳道耵聍腺肿瘤的诊治体会及注意事项。
1.主诉
品种:松狮犬;姓名:憨憨;年龄:14岁;性别:公(未绝育)。
耳道发炎,流脓,恶臭,约2年+病史,2年前看诊时有做清洗耳道,用药常规处理,之后偶尔到院清洗耳道,但是患宠均比较抗拒。此外患宠身上还有多处长肿瘤,近两年走路也开始不稳,遂就诊。
2.临床检查
右侧耳道有化脓,恶臭,耳道内有肿物。脖子和头部有肿物,最大处约6cm直径,周围有分散肿物。尾巴和肛周有肿物,尾巴背侧肿物直径3cm左右。肛周多个肿物在1-2cm直径不等。体温:38.6℃,呼吸50次/分,心率128次/分,体重25.5kg,体格评分在5分左右。
3.实验室检查
3.1 血常规检查
表1. 血常规结果(五分类,1月16日)

血常规检查结果:并未发现明显异常
3.2 血液生化检查
表2. 血液生化结果(1月16日)

生化检查结果:球蛋白偏高,白球比低,因为长期的慢性炎症。
3.3 犬C反应蛋白检查
表3. CRP结果(1月16日)

结论:炎症偏高,与耳道发炎,细菌感染有关
3.4 爱德士Catalyst对称性二甲基精氨酸检查
表4. SDMA结果(1月16日)

3.5 安捷犬N端脑钠肽检查
表5. 犬BNP结果(1月16日)
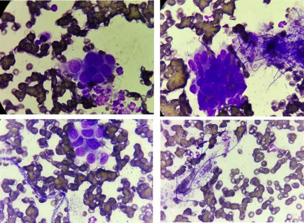
3.6 耳道肿物细胞学检查

图1. 耳道肿物细针穿刺细胞学图片
描述:镜下可见大量呈簇状上皮细胞,细胞分化良好,大小均一,未见恶性特征;此外可见大量呈链状杆菌和短杆菌和中性粒细胞。
结论:耵聍腺腺瘤。
4.影像学检查
4.1 心脏二维&M型超声检查(1月17日)

图2. 心脏超声图片
心脏超声描述
1)二维超声评估IVSD:7.3mm;LVWD:8.1mm;AO:22.5mm;LA/AO:1.25;E峰:71.50cm/s ;AT/RVET:38.5%;E/A>1;HR:153bpm。
2)彩色多普勒血流评估二尖瓣瓣叶回声正常,瓣叶未见脱垂,瓣下未见反流;三尖瓣瓣下未见反流;主动脉三冠瓣回声正常,瓣下可见中度反流,主动脉流速约480.67cm/s;肺动脉瓣回声正常,瓣下未见反流,肺动脉流速约83.07cm/s。
3)M型超声评估LVIDD:27.3mm;LVIDS:20.0mm;FS:26.8%;室间隔及左室室壁运动幅度正常,左心室大小正常。
心脏超声提示:主动脉中度返流。
4.2 超声检查

图3. 腹部超声图片
超声描述
1)膀胱中度充盈;膀胱壁回声均匀,膀胱壁欠光滑,膀胱内为清洁无回声暗区;
2)胃少量食糜和积气,小肠空虚,肠蠕动偏缓;
3)左右双肾边界清晰度尚可,肾脏皮质和髓质界限清晰度尚可,大小约为右:7.41cm×3.40cm、左:7.39cm×3.49cm;
4)肝脏回声均匀;胆囊囊腔胆汁淤积;
5)脾脏回声尚均匀;厚度约为1.49cm;
6)前列腺略增大。
超声提示:胆汁淤积;前列腺增生。
4.3 DR检查

图4. DR图片
DR检查结果:肋骨可见钙化灶,肠道积气。其他未见明显异常。
4.4 CT平扫检查

图5. CT检查图片
CT描述
1)双侧鼻甲及鼻道显示对称,鼻中隔居中,双侧鼻窦、额窦及蝶窦内气化良好,粘膜无明显增厚,鼻咽腔对称,颅底骨质未见明显异常。
2)左侧外耳道显示通畅,垂直耳道腔内未见异常密度;水平耳道靠近鼓膜处可见低至等密度异常影像,右侧外耳道扩张,其内充盈等至低密度密度影像,双侧中耳鼓室腔大小对称,密度正常。
3)颈背部皮下可见多个大小不一,软组织密度类圆形影像。
4)胸廓对称,肋骨走行自然,未见畸形及骨质破坏。
5)两肺门未见增大,位置及密度正常。双肺纹理清晰,走行自然,肺叶透过度良好,双肺未见异常密度区。
6)心影形态大小在正常范围,主动脉增粗。
7)影像范围内可见胆囊内高密度影像。
结论
1)外耳炎,右侧严重;
2)颈背部皮下肿块,肺部未见明显转移灶;
3)主动脉增粗,建议结合心脏彩超;
4)胆泥沉积(快形成结石)。
5.初步诊断
根据以上结果,可初步诊断为耵聍腺腺瘤。
6.治疗
因未见恶性特征性病变,整个外耳道内都被肿块堵塞封闭,鼓室内未被侵袭,且较为良好,于是选择保守治疗。将耳道周围的毛发修剪干净,使用温生理盐水冲洗外耳,再使用百灵金方益菌粉涂抹,每天一次。通过处理,耳道异味有明显改善,疼痛明显减轻,分泌物明显减少,再次清洗耳道,患宠明显比较配合,没有之前挣扎的严重。

图6. 治疗前后对比图
7.小结与注意事项
耵聍腺的异常并不常见,但其影响范围从单纯的不适到危及生命。已经报道了许多病变,包括猫的耵聍腺囊肿以及狗和猫的腺体增生、发育异常、腺瘤和腺癌。在耳道内的其他类型的肿瘤中,耵聍腺腺瘤和腺癌最常见于犬猫,后者以恶性肿瘤为主。继发于外耳炎的这些肿瘤的通常发展可能提示炎症过程在它们的开始中的作用。另一方面,外耳炎和内耳炎可在完全梗阻的耳道肿瘤后发生。有研究人员提出,来自增生性耵聍腺的浓缩顶泌分泌物可能刺激耳道,起到致癌作用。耵聍腺腺癌主要表现为局部侵袭性强,可能转移到局部淋巴结和腮腺。肺的远处转移很罕见。
耳道最常见的肿瘤:耵聍腺腺瘤和腺癌。其他肿瘤包括鳞状上皮细胞癌、肥大细胞瘤、恶性黑色素瘤、血管肉瘤、纤维肉瘤、淋巴瘤和基底细胞癌。
此外,有研究表明慢性中耳炎与富含脂褐素的吞噬细胞的增加有关,吞噬细胞提供持续的细胞因子和生长因子产生,有助于腺体增生的持续。增生和慢性炎症可能导致细胞转化为腺瘤和腺癌。
该患宠主人想给患宠做全耳道切除,因为不知道耳道肿物侵袭的范围,不能盲目手术,此时做CT检查尤为重要。CT结果显示,肿物完全堵塞整个耳道,只有耳道入口有严重感染,并未侵袭到内耳,鼓室也较为干净正常。此外还考虑到松狮皮肤松弛的特性,患宠年龄也较大,抵抗力较差,松狮性格特殊,护理困难,建议保守治疗。因为是有菌手术,完全切除整个外耳道,将会暴露中耳和内耳,增加感染内耳的风险。治疗后患宠生活品质得得到明显改善,无异味和渗出,疼痛减轻,主人满意度也较高。
参考文献: 略
今日精彩课程推荐
鼻分泌物和打喷嚏是猫常见的症状,当出现相关症状时,到底是哪种病原在“作怪”?治疗后又是否会复发?本期公益课程将悉数为您解答!
相关知识
耳螨的治疗方法有哪些
宠物看病中西医结合 成都宠物医院数量达1186家
宠物护理的安全技巧及注意事项
别再瞎用药了!猫咪耳螨,治疗真的很简单!
采耳是什么
宠物耳道清洗
老龄宠物犬的护理方法
狗狗的耳道怎么清理?
耳螨耳朵脏??狗狗耳朵清洁全教程✅
感谢维克!让我get了猫猫耳螨的治疗方法!【宠物猫吧】
网址: 老龄松狮犬全耳道耵聍腺瘤的诊治及注意事项梳理 https://www.mcbbbk.com/newsview37048.html
| 上一篇: 狗肛腺囊肿炎症状 |
下一篇: 狗狗肛门腺炎症状与治疗 |
推荐分享
- 1养玉米蛇的危害 28694
- 2狗交配为什么会锁住?从狗狗生 7180
- 3我的狗老公李淑敏33——如何 6236
- 4豆柴犬为什么不建议养?可爱的 4637
- 5南京宠物粮食薄荷饼宠物食品包 4563
- 6中国境内禁养的十大鸟种,你知 4429
- 7湖南隆飞尔动物药业有限公司宠 4259
- 8自制狗狗辅食:棉花面纱犬的美 4257
- 9家养水獭多少钱一只正常 4212
- 10广州哪里卖宠物猫狗的选择性多 4122
