一利用CT技术诊断犬椎间盘疾病
利用CT断层扫描诊断犬椎间盘疾病
柴敏 张菁 潘军 徐蓓贤 田雅
上海申普兽医技术有限公司
【关键词】:CT 后躯瘫痪 椎间盘 椎间孔
CT(电子计算机X射线断层扫描技术)简介:
CT(Computed Tomography) 1969年由 Hounsfield 发明,1972年正式应用于临床。CT是以X线束从多方向沿着躯体被检查部位某一选定的横断面进行照射。CT不是X线摄影,而是用X线对人体扫描,取得信息,经电子计算机处理而获得的重建图像。它能使传统的X线检查难以显示的器官及其病变显示成像,且图像逼真,解剖关系明确,从而扩大了人体(动物)的检查范围,大大提高了病变的早期检出率和诊断准确率。
全身CT可以作头、胸、腹、骨盆的横断扫描,也可作甲状腺、脊柱、关节和软组织及五官等小部位的区域扫描。
1 资料与方法
患犬照片
1.1 病例介绍:雄性小型犬,体重11kg,5岁龄。畜主告之近两日后肢无力、无法行走、食欲减退,就诊日未见大小便,无明确外伤史。
1.2 初步检查:后肢无明显反射,体温 39.4,轻度升高。腹部触诊膀胱充盈,触诊脊椎未见明显疼痛感。心肺听诊未见异常。
1.3 血液及DR检查:
1.3.1 血常规:
RBC 7.0×10^12/L (5.5-8.5) HCT 51.6% (37.0-55.0)
HGB 15.3g/dl (12.0-18.0) MCV 73.6fL (60.0-77.0)
MCH 22.59pg (18.50-30.00) MCHC 30.7g/dL (30.0-37.5)
RDW 15.9% (14.7-17.9) %RETIC 0.3%
RETIC 18.3K/μL WBC 10.66*109/L (5.50-16.90)
%NEU 88.5% %LYM 4.2%
%MONO 6.6% %EOS 0.2%
%BASO 0.4% NEU 9.44*109/L (2.00-12.00)
LYM 0.45*109/L (0.50-4.90) MONO 0.70*109/L (0.30-2.00)
EOS 0.03*109/L (0.10-1.49) BASO 0.05*109/L (0.00-0.10)
PLT 123 K/μL (175-500) MPV 8.70fL
PDW 17.7% PCT 0.1%
结果: 血常规LYM、EOS、PLT指数下降,其余指标无明显异常
1.3.2 血液生化:
BUN 3.6mmol/L 2.5-9.6 CREA 62μmol/L 44-159
PHOS 0.81 mmol/L 0.81-2.20 CA 2.42 mmol/L 1.98-3.00
ALT 100U/L 10-100 AST 366 U/L↑ 0-50
ALKP 56 U/L 23-212 AMYL 423 U/L 500-1500
LIPA 260 U/L 200-1800 GLU 6.39 mmol/L 4.11-7.95
CK ----- U/L 10-200 LDH 503 U/L ↑ 40-400
结果: AST和LDH均有升高
1.3.3 DR(digital radiography 数码X射线成像系统)检查 :

LPO(左侧位)
VD腹背位
腰椎稍有僵直,椎间隙未见明显异常,髋关节正常,直肠内积粪,膀胱充盈。
1.4 CT(computed tomography 电子计算机X射线断层扫描技术)检查:1.4.1 准备:动物因不能配合仪器操作,需行深度麻醉。本院使用静安舒(成分:氯丙嗪、阿托品)0.1/kg进行静脉诱导麻醉,15分钟后使用舒泰50(成分:替来他明、唑拉西泮)0.1/kg静脉注射。
1.4.2 CT型号及参数HITACHI EXA. x-ray ct system 。扫描参数:120kv , 70mA ,f.o.v160,Thickness 2mm, Index 2mm
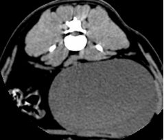
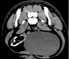
1.4.3 CT扫描:对该犬胸椎及腰椎可疑椎间盘进行横断扫描。扫描体位:俯卧位;扫描范围自T1---T13 L1---L7的椎间隙。

L4-L5 右侧椎间孔狭窄 L5-L6 双侧椎间孔狭窄

L7-S1 双侧椎间孔狭窄
2 结果
CT横断扫描图上可见分别在L4-L5、L5-L6、L7-S1处椎间盘突出,压迫硬囊膜和椎间孔,导致相应的椎间孔狭窄,椎间孔内的神经受到压迫,导致该犬后肢无力及尿潴留。
3 讨论
后肢瘫痪在特殊品种—比如北京犬、西施、腊肠等较为常见,初次发病年龄多在5-8岁。造成后肢瘫痪的原因有很多,但是最主要的因素还是因为腰椎椎间盘增生以及椎孔狭窄所引起的神经被压迫。
在普通的X光侧片上可以观察到一些软组织的增生和椎间隙狭窄征象,但在严重的病变上才比较明显。而光凭X光的诊断很难区分是椎间盘增生造成的、或是椎孔骨性狭窄造成的。
CT的特点是能够分辨人体(动物体)组织密度的轻微差别,因此,CT扫描具独特的优势,可以比较直观地从影像学角度去评估椎间孔和椎间盘的病变程度,为以后的治疗提供了有力的依据。
由于CT是计算机断层扫描,可以根据所需要的窗位和窗宽进行后期处理和调整,显示出最具对比性的图片以便于诊断所需重点观察的局部组织。此外根据CT值的测定,可以明确该区域内组织的性质,以更方便地评估病变部位,为治疗做准备。
但CT有其限制性,作为一种检查手段,CT对镇静要求比较高,必须要求患者静止不动,而这对于动物是很困难的,因此麻醉显得尤为重要,并且轻度麻醉常常达不到要求。这对于某些老年品种动物或者有心肺疾病、肝肾不全者,麻醉的风险就上升了。另外,CT也是采用X射线,因此对患者的辐射损伤还是存在的,由于是多次扫描, CT 的总辐射量远远高于普通X光,这对于患者的损伤还是需要引起注意。
从整体角度来说,CT的应用是一种更新,它被并称为20世纪医学界的两大重大突破之一。这种诊断工具在人医已经极为普及,而在兽医才刚刚起步,笔者认为,在兽医领域,CT也将会在越来越多的地方的到应用。
相关知识
影像学技术在椎间盘疾病诊治中的作用
犬常见的脊柱疾病——椎间盘疝出
犬椎间盘疾病与手术
犬猫急性脊髓疾病的诊断及治疗
宠物疾病的早期诊断和治疗技术
磁共振在犬猫疾病中的诊断作用幻灯片.pptx 文档全文免费预览
宠物临床诊疗技术课件12核磁共振检查(57页)
MRI在犬等小动物临床诊断中的应用进展
宠物临床诊疗技术 模块四项目五和项目六核磁共振CT.ppt
【pet一ct是一种什么检查】
网址: 一利用CT技术诊断犬椎间盘疾病 https://www.mcbbbk.com/newsview464432.html
| 上一篇: 小狗可以做ct吗? |
下一篇: 大型动物生病了怎么打包起来做CT |
推荐分享
- 1养玉米蛇的危害 28694
- 2狗交配为什么会锁住?从狗狗生 7180
- 3我的狗老公李淑敏33——如何 6236
- 4豆柴犬为什么不建议养?可爱的 4637
- 5南京宠物粮食薄荷饼宠物食品包 4563
- 6中国境内禁养的十大鸟种,你知 4429
- 7湖南隆飞尔动物药业有限公司宠 4259
- 8自制狗狗辅食:棉花面纱犬的美 4257
- 9家养水獭多少钱一只正常 4212
- 10广州哪里卖宠物猫狗的选择性多 4122
