犬猫心脏学《冠脉循环》

犬猫心脏学《冠脉循环》
01【概述】
犬猫心脏临床上,许多宠物医师对于血流动力学可能往往只往心肌结构异常的方向思考,缺少更深层次的思考方向,心脏疾病的四种分流:左向右分流、右向左分流、无分流、冠状动脉异常分流,更深层次即冠脉循环异常导致的心脏疾病。
作者总结,对于掌握冠脉循环系统上的疾病范围包含:
① 冠状动脉的堵塞疾病
② 冠状动脉的先天及继发性疾病
③ 心脏静脉血管的先天性畸形
④ 以及认识冠脉循环系统与心脏病的密切关联。
在宠物临床上,作者认为除第①项现阶段不适宜推广外,其他②、③、④项与宠物医师临床诊断是息息相关。(本公众号上作者也详细介绍过,冠脉循环异常的心脏疾病)
02【冠脉循环】
冠脉循环是心脏自身提供其所需要的营养物质和氧并运走废物的系统。冠脉循环含冠状动脉及冠状静脉,与体循环性质一样。冠状血流量非常大,占心输出量的5%—10%,才能确保心脏有足够的营养,维持它有力地昼夜不停地跳动。当机体运动时可增加4—5倍,由此可知,为什么猫的心率范围如此的广。冠脉循环的行程很短,血流很急,完成一个冠脉循环只需要几秒钟,冠状循环的动---静脉氧差非常大,因为心肌要从血中摄取大量的氧,由于犬猫的心肌毛细血管密度很高,约为2500根/mm²,相当于每个心肌细胞伴随一根毛细血管,有利于心肌细胞摄取氧和进行物质交换,而心脏静脉伴随冠状动脉收集代谢后的静脉血,归流到冠状静脉窦,回到右心房完成。
冠脉循环(图1)(图2)

图1 冠脉循环示意图

图2 心脏冠脉血管的三维结构图
03【冠状动脉的解剖】
冠状动脉(Coronary Artery)恰似一顶皇冠,称之为冠状动脉。冠状动脉起源于主动脉根即主动脉窦内(图3),分左右两支,各称为左冠状动脉和右冠状动脉,行于心脏表面。左冠状动脉沿冠状沟向左前行后分为前室间支(前降支)和旋支。前室间支沿前室间沟下行,绕过心尖切迹至心的膈面与右冠状动脉的后室间支相吻合。右冠状动脉沿右冠状沟行走。绕过心右缘,继续在膈面的冠状沟内行走。在房室交点附近发出降支,即后室间支。(图4,A、前面观;B、后面观;C、右前斜位;D、左前斜位)

图3


04【冠状动脉的功能】
当心脏收缩时,动脉血流通过左、右冠状动脉供给心脏,从心外膜动脉进入心壁的血管,一类呈丛状分散支配,心室壁的外、中层心肌,另一类是垂直进入室壁直达心内膜下(即穿支),直径不减,并在心内膜下与其他穿支构成弓状血管网络,然后再分出微动脉和毛细血管。由于冠状动脉均在心肌内行走,所以当心肌收缩时会受到挤压的影响。只有当心肌舒张时,心肌才能得到动脉血,在心室收缩期的冠状动脉血流量只有舒张期的20%—30%。(试想想:肥厚型心肌病或心脏僵硬时,与冠状动脉供血的关系)。
在心脏中还存在另一个循环,称之为侧支循环。冠状动脉及其分支之间存在较多侧支或吻合支,它是一种潜在的管道,并不参与冠状动脉的循环,只有当正常冠脉主支发生狭窄或阻塞时,则会出现压力差,或严重缺氧,侧支循环才开放并开始发展,这些吻合支会逐渐变粗,逐步可替代阻塞的原冠状动脉。
影响因素:
冠状动脉是受心率的绝对影响,左心室供血大部分依赖左冠状动脉,因此心肌的节律性舒张对冠状血流发生影响,尤其对左冠状动脉影响更大,所以犬、猫心动过速常常发生于冠状动脉缺血。
心脏收缩时对于右冠脉血流的影响不太大,因为右冠脉血流主要供给右室,右室壁较薄,压力也低,心肌收缩时右心肌内血管挤压作用小。且在猫肥厚型心肌病中,也主要发生在左室。
心肌对氧量的需求非常大,冠状动脉流经心脏后,其中65%—70%的氧被心肌摄取,因此血流量与心肌代谢水平成正比,心肌的代谢物:腺苷、H⁺、二氧化碳、乳酸、缓激肽和前列腺素。均可引起冠状动脉舒张,而腺苷被认为起最重要的作用,(腺苷可强烈舒张小动脉的作用,而心肌必须通过冠状动脉的舒张才能获取氧分)。至于神经和激素因素对冠状动脉的影响是次要的。(冠状动脉受迷走神经和交感神经支配)在冠状动脉中迷走神经可使血管扩张,但对冠脉血流影响都不大,因为迷走神经可使心脏活动减弱,心肌耗氧量降低,血压下降、间接使冠脉血流减少。
反而交感神经可使冠脉可使冠脉血流增加,虽然它让冠脉血管收缩,但同时可兴奋心脏,动脉血压增加,使冠脉血流增加也使心肌耗氧量增加,腺苷也增多,继发性引起冠脉血管扩张。因此,交感神经的直接缩血管作用被心肌的代谢增强产生的强大缩血管作用掩盖了,例:肾上腺素和去甲肾上腺素通过增加心肌代谢活动和耗氧量,增加心肌的代谢物腺苷,从而使冠脉血流增加。因此,心肌代谢产物中腺苷作用最大。



05【冠状动脉对于犬猫心脏病的临床意义】
通过前面所述《冠状动脉的功能》应了解心衰或心肌病中冠状动脉扮演的重要角色了。了解了冠状动脉的缩舒功能也明白了为什么要使用负性肌力作用药了吧!
同时,在犬猫结构性心脏病中,冠状动脉也扮演着许多如本文开头中讲述到的:更深层次去思考冠状动脉异常导致的心脏疾病。在犬猫关于冠状动脉可用超声判读的常见结构性心脏病如下:
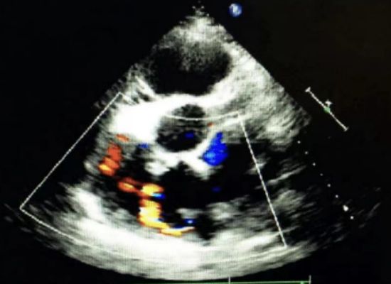
一、冠状动脉—右房瘘(图5)(图6)
超声切面:主动脉半轴切面(非标切面)
超声可见:瘘管开口于右心房,包括引流入腔静脉,冠状静脉瘘,左位上腔静脉。引流入右心房的部位常为右心房的前壁,房间隔的右房面及上腔静脉

图5 左冠状动脉—右房瘘

图6 彩色多普勒可见血流入右心房
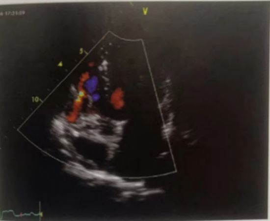
二、冠状动脉—右室瘘
超声切面:心尖五腔心(非标准切面)
超声可见:瘘管开口于右心室,瘘口位于右心室瓣环处,三尖瓣前瓣的根部,也可位于右室心尖部,瘘口处双期左向右分流,可导致右心容量负荷增加,右心扩大(图7)

图7 心尖五腔心彩色多普勒显示左冠状动脉瘘入右心室
三、冠状动脉—左房瘘
超声切面:主动脉半轴切面
超声可见:瘘管开口于左心房,包括引流入肺静脉,瘘口常位于房间隔的左房侧及左房前壁。右冠状动脉—左房瘘血管较长,主动脉半轴切面可见瘘管向左走行,沿左侧房房室沟进入左心房。左冠状动脉—左房瘘,也是行于左侧房室沟但不会见长的瘘管,常可见左房内有扩张的冠状动脉横断面的圆形回声(图8)

图8 左冠状脉(LCA走行)
小结:
以上一至三中讲述的冠状动脉瘘(coronary artery fistula)均为常见的先天性冠状动脉发育不良的病例,简单讲述即:冠状动脉“搭错”位置了,罕见的还可搭到肺动脉就叫肺动脉瘘,搭到左心室的就叫做左室瘘冠状动脉瘘对血流动力学的影响取决于分流量的大小,引流的部位有没有合并其他畸形(因常并发其他畸形)例:瘘入右心腔→右心容量增加→肺动脉高压。
又例:瘘入左心腔→左心容量增加→左心扩大→左心衰竭。值得一提的是:由于冠状动脉瘘的分流使得心肌血流减少,产生了相应心肌缺血的现象,也称为:窃血现象。
作者在犬猫冠状动脉超声临床上所得的经验:超声是很难显示冠状动脉的全程的。因此,怎样发现冠状动脉是病变的呢?首先超声寻找冠状动脉起源有否扩张,排除心脏常见的先天性结构病变。再观察哪个心腔扩大,在扩大心腔的位置使用多个非标准切面用彩色多普勒寻找入腔的血流。(即寻找冠状动脉瘘的一头一尾,中间难发现)冠状动脉瘘可以说“多姿多彩”的各种形态,因此,超声心动图可诊断大部分的冠状动脉瘘,但冠状动脉造影依然是金标准。(图9)

图9 可见冠状动脉造影,左冠状动脉扭曲并瘘入右心房
06【冠状静脉的解剖】
冠状动脉由于发生的疾病率高,因此,相比冠状静脉关注度更高,但作为冠脉循环的回收血管,冠状静脉是不容忽视的,严格意义上,对于左心室起搏以此植入,靶向药物治疗均需要对冠状静脉的解剖非常清楚。
那么,在现阶段犬猫心脏疾病临床上,了解冠状静脉能帮助宠物医师们什么呢?----必须了解冠状静脉窦!
(图10)(图11)(图12)(图13)

图10 左室长轴切面解剖图可见CS(冠状静脉窦)

图11 冠状静脉隔面观分布图

图12 心脏正面冠状静脉分布图
一、冠状静脉窦:(coronary sinus)
心脏的静脉绝大部分经冠状窦回心,少量直接注入心脏,包括冠状静脉窦,心前静脉,心最小静脉三条途径,最终注入右心房的冠状窦口。
大部分的冠状窦壁远比一般静脉壁厚,其表面由左右心房的薄层肌束覆盖,有类似控制器的功能,当心房收缩时,肌束的收缩能阻止血流进入右心房,当心房舒张时,心脏的静脉血可进入右房。尽管冠状窦大多呈椭圆形,但实际解剖上其变异仍较大,最值得关注的是:心力衰竭时冠状静脉窦会扩大!

冠状静脉窦是属于心脏大静脉系统(Greater cardiac venous system)的。大静脉系统由心外膜大静脉组成包括冠状窦的心室属支,心前静脉系统,室间隔静脉和左右房静脉。这些静脉也很容易辨认,有瓣膜,主要回流心外膜下层心肌的静脉血。
心小静脉,也被称为右冠状静脉,因与右冠状动脉一起在右房室沟内行走。最后排入CS。心小静脉位于心内膜下心肌,主要回流内层心肌静脉血,且没有瓣膜。(图14)

图13 冠状静脉系统
二、冠状静脉窦的判断意义
咱知道冠状静脉窦统领了心脏的大部分静脉血流的回流然后入右心房。知道了这一途径,当发现冠状静脉窦增粗了在心脏超声中就要寻找主导的病因了,因为冠状静脉窦的增粗是继发性的表现。至于冠状静脉窦扩大的病例在公众号(2023年8月14日切面容易忽视的疾病)有详细阐述。
07【总结】
在心脏的三类循环中,冠脉循环相关疾病是最易忽视的,正常的冠状动脉于主动脉根部是起点,静脉是回收站。起点在主动脉,终点在右房。冠脉循环的任何一个环节的异常(常为先天性的)都会引起血流动力学的异常,同样会产生类似ASD、VSD、PDA常见的先心病的各心腔扩大式缩小。
在本篇文章中常注明:非标准切面,说明了这种异常的冠脉变化“多姿多彩”。非常考验心超医生对心脏结构,心脏常见先心病的解剖及血流动力学的掌握,之后发挥“除外诊断法”排查寻找冠脉循环异常的疾病。如本文开头说的:要更深层次思考心脏疾病,当然,冠脉循环检查的金标准是“冠脉造影”。但如没有相关设备时,依然回归到全依赖超声医生的水平了。
相关知识
犬猫心脏学《冠脉循环》
猫肝门脉系统分流
医生解答放置支架后是否需要做冠脉造影复查
犬猫肝胆系统常用生化指标及临床意义
数千份犬猫样本,未显示犬猫新冠病毒阳性
冠能ProPlan高端宠物食品源自普瑞纳,冠能品牌介绍,冠能犬粮猫粮怎么样?
“无创无损”高频QRS技术亮相心脏血运重建暨急性冠脉综合征诊治进展研讨会
犬猫肝脏疾病诊断与治疗
【临床】犬猫肝脏疾病诊断与治疗
脉轮自检:疲惫/嗜睡/懒惰/社交恐惧是哪个脉轮被卡住了?
网址: 犬猫心脏学《冠脉循环》 https://www.mcbbbk.com/newsview502783.html
| 上一篇: 与众多心脏大神,顶峰相遇!202 |
下一篇: 6月28日心脏科分会 |
推荐分享
- 1养玉米蛇的危害 28694
- 2狗交配为什么会锁住?从狗狗生 7180
- 3我的狗老公李淑敏33——如何 6236
- 4豆柴犬为什么不建议养?可爱的 4637
- 5南京宠物粮食薄荷饼宠物食品包 4563
- 6中国境内禁养的十大鸟种,你知 4429
- 7湖南隆飞尔动物药业有限公司宠 4259
- 8自制狗狗辅食:棉花面纱犬的美 4257
- 9家养水獭多少钱一只正常 4212
- 10广州哪里卖宠物猫狗的选择性多 4122
