宠物医疗健康科普:犬猫的脊髓和神经鞘肿瘤的诊断和手术治疗
Shanghai Veterinary Surgeon Conference

1
脊髓肿瘤
尽管犬猫脊髓肿瘤在兽医临床不太常见,但随着犬猫生命的延长、犬猫饲养数量的增 多和临床诊断技术的发展,脊髓肿瘤在兽医临床也越来越多的得到重视,虽然某些肿瘤类 型可能发生在年轻动物身上,例如猫的淋巴瘤,但更多影响的是老年动物。
脊柱肿瘤分为原发性和继发性。原发性肿瘤从脊柱开始,而继发性肿瘤则从发生于身体的其他部位并扩散到脊柱。通常它们生长缓慢,没有任何疼痛或症状,直到肿瘤大到足以造成损害。肿瘤可以是癌性的(恶性),也可能是非癌性的(良性),但都会对脊柱造 成伤害。
脊柱的横断面成像,特别是磁共振成像 (MRI),增强了我们识别脊柱脊髓肿瘤的能力。临床兽医对诊断和治疗的兴趣增加,加上兽医神经外科和肿瘤学的发展,使得这部分 肿瘤能够获得明确诊断和治疗干预。除手术外,放射治疗已成为一种有用的主要或辅助选择,可改善患有脊柱脊髓肿瘤动物的生活质量和生存率。有了这些资源,通过临床研究和 兽医神经外科医生和肿瘤学家的开拓性努力,神经肿瘤学正在快速发展中。
1.1 发病年龄
大多数脊柱肿瘤发生在5岁以上犬身上。受影响的年龄从5个月-13岁不等。除了肾外肾母细胞瘤(一种幼犬的肿瘤)外,肿瘤类型和年龄之间似乎没有关联。在患有脊柱肿瘤的猫中,出现的平均年龄约为8-10岁。患有脊髓淋巴瘤的猫往往在更年轻的时候出现,平均为3.5-4岁。一篇关于74只猫患有脊柱肿瘤的研究,非淋巴性脊柱肿瘤的猫年龄较大,平均年龄为7-12岁。
1.2 发病品种/性别
缺乏肿瘤类型和犬种之间的关联报道。但大型犬占报告病例的50%以上。在一份关于72只患有脊柱肿瘤的犬的报告中,66.7%是大型品种,23.6%是小型品种,9.7%没有品种报告。虽然没有报告性别偏好,但在一些报告中,雄性犬占主导地位。受影响最大的猫是家养短毛猫。患有脊柱淋巴瘤的猫通常感染了猫白血病病毒 (FeLV),而患有非淋巴样脊柱肿瘤的猫往往是FeLV阴性。
1.3 临床症状脊柱肿瘤的症状与任何脊柱疾病所见的相同。患有脊柱肿瘤的动物最初通常会出现非特异性不适,然后是进行性神经功能缺损和脊柱疼痛的症状。明显的肌肉萎缩通常出现在病程的中后期。可能会出现神经状态的突然恶化或脊柱疼痛的突然加重,例如,肿瘤性椎体病理性骨折。位于硬膜外或硬膜内脊髓肿瘤可能生长缓慢,这使未受影响的脊髓实质有时间可以代偿。因此当相当大的肿瘤已经填满椎管时,临床症状可能会变得更加明显,尤其是在颈椎部位。
症状取决于肿瘤的位置。总体表现:
•步态的变化,如跛行或走路不稳。
•神经系统症状—可能是尿失禁和大便失禁或突然瘫痪。
• 后肢或前肢的无力。
• 疼痛—仅限于颈部或背部的剧烈疼痛的迹象。有些不愿意抬头,而有些则弓着背。
• 失去平衡或协调。髓外脊髓肿瘤生长缓慢并对脊髓施加压力。临床症状可能包括脊髓功能障碍、出血或缺血(由于血管因素导致血液供应受限)。另一方面,髓内肿瘤生长迅速,但临床症状与髓外脊髓肿瘤没有太大区别。
但涉及脑膜、脊神经、神经根的硬膜外肿瘤可能会引起不适,极端情形下可能加重脊椎感觉敏感。在初始阶段,可能没有神经功能障碍,但随着时间的推移,运动可能会受到严重影响。犬可能会出现四肢迈步困难、神经源性肌肉萎缩(由于外周损伤而导致肌肉萎缩)和脊椎屈曲减弱。但最大的损害是由髓内脊柱肿瘤引起的。
2
诊断
脊髓肿瘤的诊断依赖于肌电图、骨闪烁扫描、放射学检查、脊髓造影术和先进的成像技术,如计算机断层扫描 (CT) 和/或磁共振成像 (MRI)。肌电图可能有助于确认神经系统疾病并确定神经定位以进行进一步成像。脊柱X线检查的价值在于识别涉及脊柱骨结构的原发性肿瘤(骨肉瘤、软骨肉瘤)或转移到椎体的肿瘤。X线片也能排除椎间盘炎。大多数脊柱肿瘤X线片不明确,结果阴性仍需要进一步的脊髓造影成像。脊髓造影的评估提供了有关肿瘤位置的信息,以及它在椎管中相对于脊髓硬膜和脊髓的位置。重要的是采取侧位和腹背摄片,以便正确评估脊髓造影。进行脊髓造影时应保留脑脊液 (CSF) 样本;偶尔可在脑脊液中发现肿瘤细胞。如果肿瘤容易采样,可以尝试细针抽吸进行细胞学检查或组织活检。但在大多数脊柱肿瘤病例中,肿瘤由于位于椎管内而难以进行有效采样。在怀疑脊髓肿瘤所有病例中,建议进行胸部X线检查。骨闪烁扫描可能有助于定位椎骨肿瘤或转移到脊柱的病变。
CT、MRI,如果有条件,是怀疑脊髓肿瘤病患首选的成像工具。CT和MRI允许直接评估脊髓本身,而不是在脊髓造影的情况下间接观察硬膜外或硬膜内占位性病变。CT和MRI还允许区分正常脊髓实质和肿瘤组织。根据CT和MR检查结果,可以规划显微神经外科手术,采取最佳方案和广泛的手术暴露。
患宠也可能会要求进行血液检查、尿液分析和活检。血检可以提示任何感染或炎症。活检是获取一小块肿瘤或周围组织,以更好地了解肿瘤的信息。
根据脊髓造影、CT和/或MRI结果,脊髓肿瘤分为硬膜外肿瘤、硬膜内-髓外肿瘤和髓内肿瘤(图 1)。

图1脊髓肿瘤示意图:硬膜外(1)、硬膜内-髓外(2)和硬膜内-髓内(3);A.硬膜内-髓内:星形细胞瘤、室管膜瘤、血管瘤、海绵状血管瘤、皮样/表皮样。B硬膜内-髓外:神经鞘瘤、脑膜瘤。C.硬膜外:骨肿瘤、脓肿、血肿、椎间盘、滑膜囊肿、唇部神经母细胞瘤/神经节神经瘤。
3
脊柱肿瘤的类型
3.1 硬膜外肿瘤
硬膜外肿瘤是犬最常见的类型,这些肿瘤生长在脊髓外并引起压迫和疼痛。它们占脊柱所有肿瘤的50%。包括位于硬脑膜外的肿瘤,即椎体肿瘤(骨肉瘤、纤维肉瘤、软骨肉瘤、骨髓瘤)和转移的硬膜外肿瘤(癌、肉瘤、黑色素瘤)。在猫中,最常见的硬膜外肿瘤是淋巴瘤,它也可能影响脊髓本身(硬膜内)。

图2 9岁混种犬,2周进行性下肢瘫痪病史,A,腰椎矢状位T2加权MRI。在L2椎骨水平处可见界限清楚的硬膜外病变(长箭头)。病变的骨头,脊髓呈高信号,与水肿一致(短箭头)。B,横断面I2加权MR!显示双侧椎体内静脉从增大(长箭头)。腹侧椎管的正常低信号表示皮质骨明显丧失。眷髓可见背侧偏斜和侧向压缩(短箭头)。在透视引导下获得的L2椎体活检标本的显微镜检查,被诊断为浆细胞肿瘤。

图3 AB是8岁雄性去势澳大利亚牧牛犬,被诊断患有淋巴瘤,已经影响到骨骼,骨皮质反应、皮质溶解和良性/反应性骨改变。横断面(A)T1W图像和(B)抑脂后T1W图像,其中第7腰椎水平髓腔有均匀的对比增强,没有皮质溶解(*),相邻稚旁软组织(白色箭头)和延伸到稚管内的软组织有轻度对比增强。C、D是8岁雄性去势的大丹犬。横断位(C)T1W图像和(D)骶骨水平去脂对比后T1W图像,被诊断患有骨肉瘤,受影响骨骼的广泛皮质松解。有一个以骶骨为中心(白色箭头)并延伸到椎管和椎旁软组织(*)的大的、边界不清的、不均匀的对比增强肿块。E、F是4岁雄性去势家养短毛猫。(E)横断位TW图像和(F)L7和L7-S1的椎间孔尾部水平的冠状位去脂后T1W图像受影响的骨头。在L7神经根(*)之后有一个强烈的对比增强(黑色箭头)硬膜外肿块导致椎管左侧和左侧L7-S1椎间孔(白色箭头)增宽。
3.2 硬膜内-髓外肿瘤
硬膜内-髓外肿瘤,这些肿瘤位于硬脑膜内且位于脊髓实质外,它们占脊柱肿瘤的 30%。最常见的是脑膜瘤和神经鞘瘤(神经纤维瘤、神经纤维肉瘤、神经鞘瘤)。脊髓中的 脑膜瘤远不如大脑中常见。神经鞘瘤占该部位肿瘤的大部分。当它们发生在颈椎 (C1-C6) 和胸腰椎 (T3-L3) 脊柱时,会出现脊髓受压和功能障碍的迹象。由于这些肿瘤通常会导致 下行运动神经元功能障碍,因此肌电图对于识别所涉及的神经根非常有用。

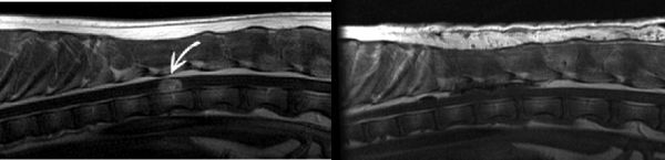
图4 是18个月大的哈士奇犬雄性。MR!图像显示T12椎体节段水平的局灶性、边界清楚、左侧、对比增强、硬膜内/髓外脊髓肿块。当肿瘤位于硬膜内和髓外时,意味着它位于硬脑膜(脊髓的覆盖物)中,但不在脊髓组织中。在肿块周围的区域有脊髓肿胀。硬膜内/髓外脊柱肿块只有少数几种类型。脑膜瘤是该部位最常见的肿瘤。周围神经鞘瘤、肉芽肿和出血也可以在这里找到。但还要注意一种称为肾母细胞瘤的肿瘤,因为这些肿瘤通常是硬膜内/髓外的,好发于年轻大型犬的胸腰椎区域。主人选择手术切除(去除)肿块,并进行随后的组织病理学评估以获得明确的诊断。DePompa医生进行了左侧T11-T13半椎板切除术,随后切除了肿块。右图是该哈士奇进行了术后MRI结果表明见肿瘤切除成功。

图5是一种特殊的脊髓肾母细胞瘤,这些细胞在胚胎发生过程中被困在椎管内,随后在生命的某个时间后出现肿瘤行为。动物的脊髓肾母细胞瘤非常罕见。肾母细胞瘤的治疗选择有限,手术减瘤(切除)是兽医学的主要治疗选择。手术后的后续化学和放射治疗被认为是有帮助的。
3.3 髓内肿瘤
髓内肿瘤(胶质瘤、星形细胞瘤、室管膜瘤或转移性肿瘤如淋巴肉瘤)发生在脊髓实质内,是最不常见的类型。在中枢神经系统细胞中生长的肿瘤,占脊柱肿瘤 15%。

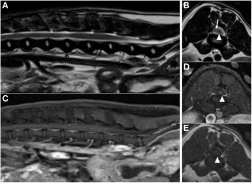
图6 2岁雄性体重477kg约克夏犬术前磁共振图像。矢状面(A)和横切面(B)T2加权图像显示L3-4椎间盘间隙(星号)水平的高信号髓内肿块和肿块颅侧神经水肿(箭头)。矢状面(C)和横切面(D)对比后T1加权图像造影显示肿块明显、均匀的对比增强。

图7图六约克夏术后9个月磁共振图像。(A)状面T2加权图像显示没有瘤周水肿(星号位于L3-4间盘空间的水平)。(B)L3-4稚间盘间隙水平的横断面T2加权图像,显示脊髓萎缩(箭头)。夫状面(C)和横切面(D)对比后T1加权与L3-4椎间盘空间水平的FatSat图像。L3-4椎间盘空间水平的横断面对比前T1加权图像。在所有横断面图像(箭头)上,椎管左侧可见萎缩的脊髓。椎管右侧对比前后T加权横断面图像上的脊髓低信号和T2加权横断面图像上的混合信号物质所占据(箭头)。这表明手木部位脊髓膜粘连的可能性。

图8脊髓血管母细胞瘤的组织学和免疫组化切片。(A)主要是被大量扩张的毛细血管隔开的梭形细胞(箭头)10x。(B)被中等纤维基质分隔的梭形细胞(箭头)的更高放大倍数视图40x。(C)肿瘤内的纺锤体细胞群和基质对神经元特异性烯醇化酶呈弥漫阳性。切片内的毛细血管为阴性(箭头;阴性内控),20x。(D)肿瘤内的毛细血管对因子Vll呈弥漫性阳性,20x。血管母细胞瘤是罕见的、良性的、高度血管化的中枢神经系统肿瘤。它们占人类所有中枢神经系统肿瘤<3%。
3.4 周围神经肿瘤
这是在脊柱神经根中发展的最罕见的形式。它们仅占所有脊柱肿瘤的5%。有许多不同 类型的PNST:神经节瘤、周围神经母细胞瘤、副神经节瘤、周围神经鞘瘤、良性周围神经鞘瘤、神经鞘瘤、神经纤维瘤、神经束膜瘤、恶性周围神经鞘瘤、恶性神经鞘瘤、神经纤维肉瘤。
目前使用最广泛的名称是神经鞘瘤。在组织学检查中,NST 表现出安东尼A或安东尼B模式;前者(Antoni A)包括紧密排列的梭形细胞,排列成交错的束状和栅栏(螺旋状),而后者(Antoni B)细胞较少,由松散排列的梭形细胞组成,由水肿基质支撑。NST可能发生在身体的每条大神经或小神经中,但只有在涉及脊髓、马尾神经或四肢主要周围神经时才会受到骨科医生或神经外科医生的关注。尽管大多数NST生长在硬脑膜外(硬膜外),但它们可能会沿着神经根的通路延伸到椎间孔中。一旦进入椎管内,它们可能会形成硬膜内-髓外肿瘤,甚至是硬膜内-髓内肿瘤。临床症状包括严重的、无法解释的和顽固的疼痛、胸部或骨盆四肢跛行、偏瘫、共济失调和本体感觉缺陷。早期诊断和积极的手术方案最大限度地提高了完整切除肿瘤而保留肢体功能的可能性。NST 的复发率很高,总体预后较差。
在乌得勒支大学发现了八只患有神经鞘瘤的犬,其中NST的诊断通过手术标本的影像学或组织学检查得到证实。这些犬(德国牧羊犬、英国可卡犬、布维尔犬、爱尔兰梗犬、 拉布拉多猎犬和3只金毛猎犬)的年龄从14个月-10岁不等,因四肢跛行、偏瘫、严重肌肉萎缩和(周期性)严重肢体或腋窝疼痛对药物治疗无反应。疼痛最终集中在前颈部区域(1只)、下颈部区域和腋窝区域(4只)、下背部区域(1只)和远端肢体(2只)。对4只狗进行了肌电图检查,显示受影响肢体肌肉的去神经电位。5只犬进行了计 算机断层扫描,2只进行了磁共振成像,2只进行了超声检查。CT显示3只犬的C6-C7-T1处有臂丛神经肿瘤,1只狗犬C6处NST的硬膜内-髓外肿瘤成分,以及1只犬的腰骶 椎间盘疾病和右脊神经根S1肿瘤。MRI显示爱尔兰梗的C1-C2处存在左侧椎旁NST的硬膜内-髓外肿瘤。超声检查发现一只英国可卡犬在距跖关节的中跖面沿胫神经有一个细长的肿瘤。超声检查和MRI显示拉布拉多猎犬腕部的正中神经通路上有一个细长的肿瘤。对NST水平为C1-C2的爱尔兰梗和两只患有臂丛神经肿瘤的犬进行安乐死(主人的意愿)。五只犬接受了手术探查和肿瘤切除术。手术标本的组织病理学检查显示神经鞘瘤(脊髓、 臂丛神经)、低恶性神经纤维肉瘤(S1 神经根、正中神经)和粘液肉瘤(胫神经)。随访检查显示3只犬在手术后2 - 6个月复发。两只犬(C6脊髓NST和S1神经根NST)在 复发时被安乐死。具有中值 NST 的拉布拉多寻回犬已成功重新生活。两只臂丛神经NST和胫骨NST的狗进入完全缓解生活状态。

图9 拉布拉多猎犬2岁、已去势、雄性。这只犬有一个月的进行性左侧偏瘫病史。该犬左前腿短步,左后腿大步。神经系统检查符合C6-T2左侧脊髓病。影像诊断结果:脊髓造影显示C7-T1有硬膜内肿块。左前胸腔内存在一个4x4x1cm的形状不规则的肿块。肿块使通向其的脊神经C7、C8和T1增厚,并使从尾侧和腹侧分支进入胸腔的周围神经增厚。横切面脊髓包含从C7-T1延伸的灰色髓内肿块。在切除的脊髓附近有一个出血性多结节性肿块(5x9cm),附着在3-4根脊神经上并围绕着它。

图9拉布拉多猎犬2岁、已去势、雄性。这只犬有一个月的进行性左侧偏瘫病史。该犬左前腿短步,左后腿大步。神经系统检查符合C6-T2左侧脊髓病。影像诊断结果:脊髓造影显示C7-T1有硬膜内肿块。左前胸腔内存在一个4x4x1cm的形状不规则的肿块。肿块使通向其的脊神经C7、C8和T1增厚,并使从尾侧和腹侧分支进入胸腔的周围神经增厚。横切面脊髓包含从C7-T1延伸的灰色髓内肿块。在切除的脊髓附近有一个出血性多结节性肿块(5x9cm),附着在3-4根脊神经上并围绕着它。
4
手术治疗
4.1 在原发性脊髓肿瘤中
(1)收集组织用于组织病理学诊断。
(2)通过肿瘤切除和减压来改善脊髓功能。手术治疗被认为适用于硬膜外肿瘤和硬膜内-髓外肿瘤。在髓内肿瘤的情况下,肿瘤组织和正常脊髓实质之间通常没有明显的边界,手术切除被认为是姑息性的。手术方法必须根据肿瘤的位置量身定制,理想情况下,应使用CT和MRI提供的信息制定手术方案。通常肿瘤和脊髓的广泛暴露是可取的。大多数颈椎或胸腰椎区域有脊髓瘤的患者推荐为椎板背侧切除术。‘腹侧槽'由于进入脊髓和神经根的途径有限,因此在颈部区域的方法是没有用的,不推荐使用。此外静脉窦会妨碍手术区域。在胸腰椎区域,背侧椎板切除术会导致脊椎不稳定,因此在切除肿瘤后,必须使用内固定技术(如Lubra板或脊柱板)恢复椎体稳定性。脑膜瘤的硬膜内定位需要硬膜切开术,通常也需要部分硬膜切除术。使用手术放大镜(放大镜或手术显微镜)可以更容易地识别肿瘤边缘。神经外科医生必须权衡完全切除肿瘤的优势,包括对可能导致神经功能缺损恶化的脊髓损伤。因此脊髓肿瘤切除可能不完整,应考虑其他疗法(化疗和放疗)作为后续治疗。术前给予甲基强的松龙 (2-5 mg/kg) 以尽量减少脊髓操作的影响。
在国外,兽医肿瘤学家也正在使用一种称为立体定向放射 (SRS) 的新型高级治疗方法。SRS 提供高剂量的辐射,可以更准确地靶向肿瘤,同时不影响健康组织。对狗的好处是更少的放射治疗和更少的副作用。
4.2 预后
接受过手术的患犬也可以接受放射治疗。研究表明,当放射与手术相结合时,结果可以将狗的寿命延长11-24个月。
已经发现乳腺腺癌和恶性黑色素瘤可以转移到脊髓的髓内区域。在全身恶性肿瘤的情况下,只有在硬膜外(椎管的最外层[椎管穿过的椎骨空间])或椎间隙中没有报告转移时,才会发生髓内转移。
硬膜外转移性肿瘤或椎体肿瘤的预后谨慎。在某些情况下,受影响的椎骨被移除,存活的机会会更好。有时硬膜内-髓外肿瘤会被完全切除。在这种情况下,预后良好。但有报道接受放射治疗的髓内肿瘤的有生存率超过1年以上。
未经授权 禁止转载

精彩还在继续
扫码 ╳ 关注我们

相关知识
宠物医疗健康科普:犬猫的脊髓和神经鞘肿瘤的诊断和手术治疗
犬猫的急性脊髓损伤的治疗
犬乳腺肿瘤的诊断和治疗方案设计.docx
犬猫临床医学—神经系统疾病.docx
猫传染性腹膜炎的神经型和GS-441524疗法
猫神经疾病原因与防治
一例犬弥漫性肉芽肿性脑膜炎的诊断和治疗病例报告
犬猫鼻面和爪垫疾病的诊断与治疗
老年犬和猫的消化道肿瘤
一例犬软组织肉瘤病例分享——精准检测如何破解宠物肿瘤科诊断“假象”?
网址: 宠物医疗健康科普:犬猫的脊髓和神经鞘肿瘤的诊断和手术治疗 https://www.mcbbbk.com/newsview135981.html
| 上一篇: 猫咪肠梗阻手术治疗经验分享(一) |
下一篇: 原创 狗 |
推荐分享
- 1养玉米蛇的危害 28694
- 2狗交配为什么会锁住?从狗狗生 7180
- 3我的狗老公李淑敏33——如何 6236
- 4豆柴犬为什么不建议养?可爱的 4637
- 5南京宠物粮食薄荷饼宠物食品包 4563
- 6中国境内禁养的十大鸟种,你知 4429
- 7湖南隆飞尔动物药业有限公司宠 4259
- 8自制狗狗辅食:棉花面纱犬的美 4257
- 9家养水獭多少钱一只正常 4212
- 10广州哪里卖宠物猫狗的选择性多 4122
