一例猫恶性乳腺肿瘤的诊治报告
摘要:乳腺是犬猫肿瘤常发的部位,母犬乳腺瘤发病率约占全部肿瘤性疾病的25%~50%左右,其中约40%~50%的犬乳腺肿块为良性的,即纤维腺瘤。而猫的乳腺瘤发病率仅次于皮肤癌和淋巴肉
摘要:乳腺是犬猫肿瘤常发的部位,母犬乳腺瘤发病率约占全部肿瘤性疾病的25%~50%左右,其中约40%~50%的犬乳腺肿块为良性的,即纤维腺瘤。而猫的乳腺瘤发病率仅次于皮肤癌和淋巴肉瘤,80%~90%的猫乳腺肿块都是恶性、转移性的,在肿瘤间质和实质细胞间,常有淋巴细胞浸润,淋巴转移常发生在腋下淋巴结、腹股沟淋巴结、肺、肝及脾,骨骼的转移性肿瘤很少见,一旦发生则多数是恶性的。猫乳腺肿瘤的病因尚未完全清楚,但一般认为与孕激素、雌激素等性激素相关。该病的发生还受多种环境因素和遗传因素的影响。其治疗应早发现早手术为宜。
1 病例介绍
家猫,咪咕,雌性(未绝育),13岁,未免疫,未驱虫,半年前乳腺开始增生,近一月,肿块生长迅速,前几日肿块出现破溃,精神萎靡,食欲废绝。
2 临床检查
体温39.1℃,心率125次/分钟,呼吸18次/分钟,体重2.75kg,精神萎靡,口色苍白,左侧倒数第二个乳头处有一直径4cm的肿块,倒数第三个乳头下面有一直径2cm的肿块,极度消瘦,被毛杂乱。
3 实验室检查
3.1 血常规检查:白细胞严重升高,红细胞轻微减少,提示机体存在炎症及轻度的贫血(见表1)。
表1 血常规检查结果
3.2 血气检查:暂未见明显异常(见表2)。
表2 血气检查结果
3.3 生化检查:CA升高常见于甲状旁腺机能亢进、肿瘤疾病(见表3)。
表3 生化检查结果
3.4 X线检查:肺部未见明显异常(见图1、2)。
图1 胸部X光侧位片
图2 胸部X光正位片
3.5 B超检查:左侧倒数第二个乳头肿块皮下可见一边界不清晰、质地不均的中等回声、呈蜂窝状团块,团块中央可见直径约0.53-0.88cm的无回声暗区(见图3);左侧倒数第三个乳头肿块皮下可见一边界清晰,中等均质回声圆形结节,实质可见血流供应(见图4)。腹股沟淋巴结皮下可见数个边界清晰,低等均质回声圆形结节,结节直径约0.69-2.34cm,边缘及实质血流供应丰富(见图5)。
图3 左侧倒数第二个乳头B超图片
图4 左侧倒数第三个乳头B超图片
图5 腹股沟淋巴结B超图片
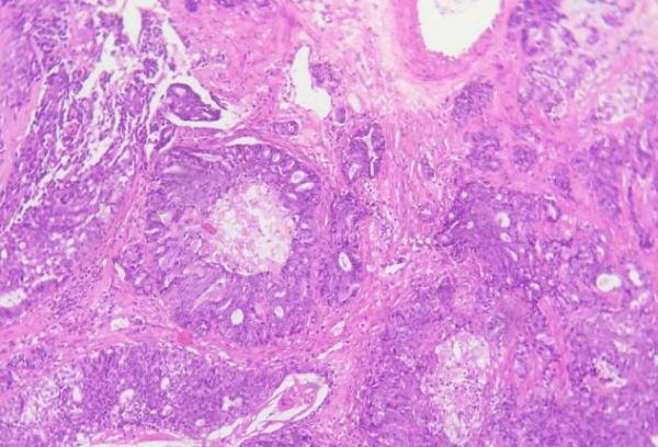
3.6 组织病理学检查:组织病理学切片在40倍显微镜下,乳腺组织正常结构消失,导管上皮增生,肿瘤细胞呈条索状或片状增生,周围结缔组织结构被破坏,可见到鳞状化生区域(见图6、7)。100倍显微镜下,肿瘤细胞大小不等,核仁浓染,部分细胞可见多核仁有多处中央无细胞区域,由坏死、胶原和玻璃样物质组成(见图8、9)。
4 初步诊断
结合动物临床症状、辅助检查,初步诊断为浸润性非特殊乳腺癌、腹股沟淋巴结肿大。
5 治疗
该患猫经组织病理学检查诊断为浸润性非特殊乳腺癌,该疾病为恶性肿瘤,遂采取单侧乳腺全切除术。
术前准备常规器械、创巾、纱布等手术用品,手术开始前15min给予术前止血、止痛、消炎药物。呼吸麻醉后,术部剃毛消毒,于最后一个乳头后方做一弧形切口至第1个乳头前方,为了保证病变组织充分切除,切口位于肿块外至健康皮肤1.5cm处。切除皮下组织,暴露腹部筋膜,提起乳腺前缘,使用剪刀沿筋膜分离皮下组织,腹股沟环附近的血管适当结扎。剥离皮肤边缘并使用步履式缝合的方式将创缘皮肤推向切口中央进行皮下组织和皮肤的缝合。
术后常规消炎、止痛、止血,同时给予营养支持,术后10天伤口愈合出院。2个月后回访,宠主告知于两天前已死亡。
6 小结和体会
临床上,治疗乳腺肿瘤方法有多种:单侧或双侧乳腺切除术,局部乳腺切除术。在猫上,较适宜实行单侧或双侧乳腺切除。手术方法的选择还需结合动物体况、个体差异、肿瘤大小、部位及数量等多种因素综合制定手术方案。
笔者曾接诊15例犬猫乳腺肿块病例,8例出现癌变,其中部分仅实施单纯性乳腺肿块切除术,术后不久另一侧乳腺出现增生;另一部分病例则同时实施乳腺肿块切除和绝育术,该部分病例中80%存在子宫卵巢病变,这些病变表现为单纯子宫或卵巢病变,严重的病例会同时出现卵巢子宫病变。综上所述,当动物出现乳腺肿块时,子宫和卵巢可能已经出现病变,如不实施摘除,易引起其他部位乳腺增生。本病例中,因猫年龄较大,为了降低风险,在尊重宠主个人意愿基础上,仅实施单纯性乳腺肿块切除术。
周莲
瑞鹏宠物医院医师
毕业后即开始从事宠物诊疗行业,具有扎实的理论基础、较丰富的临床经验,对小动物有责任心、爱心,立志为提高动物福利而奋斗。
主要研究方向:小动物普外科、内科
相关知识
一例猫恶性乳腺肿瘤的诊治报告
犬乳腺肿瘤的肿瘤行为学概述
一例猫急性肾损伤的诊治报告
狗狗得了乳腺肿瘤怎么办
一例犬传染性性病肿瘤(TVT)的诊治
犬肿瘤病的发病情况调查及诊治
狗狗乳腺肿瘤症状是什么?一定要做手术吗?手术后还会复发吗?
金毛狗狗乳腺肿瘤吃什么?
猫患肿瘤怎么办啊?
患有「乳腺肿瘤」的狗狗,该如何防治不再遭受痛苦?
网址: 一例猫恶性乳腺肿瘤的诊治报告 https://www.mcbbbk.com/newsview223546.html
| 上一篇: 狗狗得了肿瘤,吃这个就能好 |
下一篇: 癌症患者接受化疗期间可以养狗等宠 |
推荐分享
- 1养玉米蛇的危害 28694
- 2狗交配为什么会锁住?从狗狗生 7180
- 3我的狗老公李淑敏33——如何 6236
- 4豆柴犬为什么不建议养?可爱的 4637
- 5南京宠物粮食薄荷饼宠物食品包 4563
- 6中国境内禁养的十大鸟种,你知 4429
- 7湖南隆飞尔动物药业有限公司宠 4259
- 8自制狗狗辅食:棉花面纱犬的美 4257
- 9家养水獭多少钱一只正常 4212
- 10广州哪里卖宠物猫狗的选择性多 4122
